A "Galactic" Chest X-ray
- PMID: 34070198
- PMCID: PMC8158502
- DOI: 10.3390/diagnostics11050899
A "Galactic" Chest X-ray
Abstract
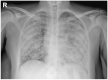
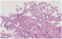
Clinical manifestations accompanying respiratory failure with insidious and rapidly progressive onset are often non-specific. Symptoms such as a cough, dyspnea, and fever are common to a large number of inflammatory, infectious, or neoplastic diseases. During the COVID-19 pandemic it is essential to limit the use of hospital services and inappropriate diagnostic techniques. A particular radiological pattern can orient the clinical and laboratory scenario and guide the diagnostic workup. A 58-year-old woman was admitted to our COVID-19 unit for suspected coronavirus infection. She was complaining of worsening dyspnea, tachycardia, and low grade fever. A chest X-ray showed diffuse, alveolar, and interstitial lung involvement with micronodules tending to coalescence. This radiographic pattern known as "galaxy sign", consistent with diffuse, coalescing nodular miliary pulmonary involvement, simulating a non-specific alveolar opacification of the lungs is typical of a few pneumological differential diagnoses, represented by sarcoidosis, tuberculosis, pneumoconiosis, and metastatic lesions, and virtually excludes an interstitial viral pneumonitis. The use of endoscopic techniques can, in such cases, confirm the clinical suspicion for initiating appropriate targeted therapies.
Keywords: interventional pulmonology; lung cancer; metastasis; miliary pulmonary involvement.
Conflict of interest statement
The authors declare no conflict of interest.
Figures
References
-
- Mirijello A., Zarrelli M., Miscio G., de Matthaeis A., Piscitelli P., Carbonelli C.M., De Cosmo S. Diagnosis of COVID-19 in Patients with Negative Nasopharyngeal Swabs: Reliability of Radiological and Clinical Diagnosis and Accuracy Versus Serology. Diagnostics. 2021;11:386. doi: 10.3390/diagnostics11030386. - DOI - PMC - PubMed
LinkOut - more resources
Full Text Sources
