COVID-19 complicating perioperative management of LVAD implantation: A case report and systematic review
- PMID: 34091934
- PMCID: PMC8242914
- DOI: 10.1111/jocs.15690
COVID-19 complicating perioperative management of LVAD implantation: A case report and systematic review
Abstract
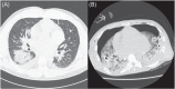
The coronavirus 2019 disease (COVID-19) affected 125 million people worldwide and caused 2.7 million deaths. Some comorbidities are associated with worse prognosis and left ventricular assist device (LVAD) recipients are probably part of this high-risk population. We report a 31-year-old male patient who developed COVID-19 during LVAD implantation. His postoperative period was complicated by severe pneumonia and mechanical ventilation (MV) leading to right ventricular failure (RVF) and inotrope necessity. He experienced multiple complications, but eventually recovered. We present a systematic review of LVAD recipients and COVID-19. Among 14 patients, the mean age was 62.7 years, 78.5% were male. A total of 5 patients (35.7%) required MV and 3 patients (21.4%) died. A total of 2 patients (14.2%) had thromboembolic events. This case and systematic review suggest LVAD recipients are at particular risk of unfavorable outcomes and they may be more susceptible to RVF in the setting of COVID-19, particularly during perioperative period.
Keywords: COVID-19; LVAD; acute respiratory distress syndrome; right ventricular dysfunction.
© 2021 Wiley Periodicals LLC.
Conflict of interest statement
Dr. Ferreira has received personal fees and nonfinancial support from Abbott. The other authors have no conflict of interests.
Figures
References
-
- Organization WH . WHO Coronavirus Disease (COVID‐19) Dashboard. Accessed 27/03/2021, https://covid19.who.int/
Publication types
MeSH terms
LinkOut - more resources
Full Text Sources
Medical
