Pulmonary embolism severity before and during the COVID-19 pandemic
- PMID: 34106780
- PMCID: PMC8248223
- DOI: 10.1259/bjr.20210264
Pulmonary embolism severity before and during the COVID-19 pandemic
Abstract
Objectives: Early in the coronavirus 2019 (COVID-19) pandemic, a high frequency of pulmonary embolism was identified. This audit aims to assess the frequency and severity of pulmonary embolism in 2020 compared to 2019.
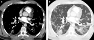
Methods: In this retrospective audit, we compared computed tomography pulmonary angiography (CTPA) frequency and pulmonary embolism severity in April and May 2020, compared to 2019. Pulmonary embolism severity was assessed with the Modified Miller score and the presence of right heart strain was assessed. Demographic information and 30-day mortality was identified from electronic health records.
Results: In April 2020, there was a 17% reduction in the number of CTPA performed and an increase in the proportion identifying pulmonary embolism (26%, n = 68/265 vs 15%, n = 47/320, p < 0.001), compared to April 2019. Patients with pulmonary embolism in 2020 had more comorbidities (p = 0.026), but similar age and sex compared to 2019. There was no difference in pulmonary embolism severity in 2020 compared to 2019, but there was an increased frequency of right heart strain in May 2020 (29 vs 12%, p = 0.029). Amongst 18 patients with COVID-19 and pulmonary embolism, there was a larger proportion of males and an increased 30 day mortality (28% vs 6%, p = 0.008).
Conclusion: During the COVID-19 pandemic, there was a reduction in the number of CTPA scans performed and an increase in the frequency of CTPA scans positive for pulmonary embolism. Patients with both COVID-19 and pulmonary embolism had an increased risk of 30-day mortality compared to those without COVID-19.
Advances in knowledge: During the COVID-19 pandemic, the number of CTPA performed decreased and the proportion of positive CTPA increased. Patients with both pulmonary embolism and COVID-19 had worse outcomes compared to those with pulmonary embolism alone.
Figures
References
-
- Klok FA, Kruip MJHA, van der Meer NJM, Arbous MS, Gommers D, Kant KM, et al. . Confirmation of the high cumulative incidence of thrombotic complications in critically ill ICU patients with COVID-19: an updated analysis. Thromb Res 2020; 191: 148–50. doi: 10.1016/j.thromres.2020.04.041 - DOI - PMC - PubMed
MeSH terms
Grants and funding
LinkOut - more resources
Full Text Sources
Medical
Miscellaneous
