Spike in Rhino-Orbital-Cerebral Mucormycosis Cases Presenting to a Tertiary Care Center During the COVID-19 Pandemic
- PMID: 34124087
- PMCID: PMC8192710
- DOI: 10.3389/fmed.2021.645270
Spike in Rhino-Orbital-Cerebral Mucormycosis Cases Presenting to a Tertiary Care Center During the COVID-19 Pandemic
Abstract
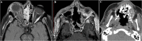
Objective: To determine if there was an increase in the rate of cases presenting with rhino-orbital-cerebral mucormycosis (ROCM) to a tertiary care center during the first wave of the coronavirus disease 2019 (COVID-19) pandemic and the characteristics of the presenting cases. Methods: Retrospective observational study reviewing ROCM cases presenting from March 25 until September 25, 2020. Cases fulfilling the clinical, radiological, and pathological/microbiological criteria for diagnosis with ROCM were included. The number of cases presenting during the designated interval, their COVID-19 status, comorbidities, and clinical presentation were analyzed. The number of cases during the corresponding interval in the previous 3 years was used as reference to detect if there was a recent spike. Results: Of the 12 ROCM cases identified, 5 had a concurrent positive reverse transcription PCR (RT-PCR) test result for severe acute respiratory syndrome coronavirus 2 (SARS-CoV-2), 1 had a prior positive result, and 6 did not have concurrent nor prior positive test results. Nine of the 12 cases had poorly controlled diabetes mellitus, and 2 cases had a hematological malignancy. All cases had orbital invasion, and eight cases had cerebral invasion. The number of cases identified during the interval is much higher than the numbers presenting in the prior 3 years during equivalent intervals (range, one to two cases) than those reported in the literature in different settings in the pre-pandemic era. Conclusions: There is an increased rate of ROCM cases presenting to our center during the first wave of the COVID-19 pandemic. This is a preliminary report, and further studies are needed to corroborate the findings and explain possible underlying links.
Keywords: COVID-19; SARS-CoV-2; invasive fungal infection; mucormycosis; rhino-orbital-cerebral mucormycosis.
Copyright © 2021 Fouad, Abdelaziz, Askoura, Saleh, Mahmoud, Ashour and Ashour.
Conflict of interest statement
The authors declare that the research was conducted in the absence of any commercial or financial relationships that could be construed as a potential conflict of interest.
Figures



References
LinkOut - more resources
Full Text Sources
Miscellaneous