Mind your head: two cases of mucosal metastasis of BRAF-mutated melanoma of the scalp
- PMID: 34142226
- PMCID: PMC8989798
- DOI: 10.1007/s00428-021-03120-7
Mind your head: two cases of mucosal metastasis of BRAF-mutated melanoma of the scalp
Abstract
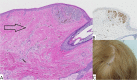
Mucosal melanomas are rare and only a small portion bear BRAF mutations while cutaneous melanomas have a much higher prevalence and often harbor BRAF mutations. We present two cases in which, after a malignant melanocytic mucosal lesion with a BRAF mutation was found, the primary cutaneous source was identified and clonality confirmed between the lesions. In both cases, primary lesions occurred on the scalp, an often-overlooked site. Both lesions showed signs of regression implying that in due time these lesions could have been fully regressed and might never have been detected. In that case, the metastatic mucosal lesion would erroneously be identified as a BRAF-mutated mucosal melanoma. These cases give warrant; a careful dermatological inspection should be instigated when confronted with a BRAF-mutated mucosal melanoma. We hypothesize that some BRAF-mutated mucosal melanomas might actually represent metastases of regressed cutaneous melanomas.
Keywords: BRAF mutations; Melanoma; Metastatic melanoma; Mucosal melanoma; Oncologic genetics.
© 2021. The Author(s).
Conflict of interest statement
The authors declare no competing interests.
Figures
References
-
- Elder DE, Scolyer RA, Willemze R (2018) WHO classification of skin tumours 4th edition. International Agency for Research on Cancer (IARC)
-
- Beadling C, Jacobson-Dunlop E, Hodi FS, Le C, Warrick A, Patterson J, Town A, Harlow A, Cruz F, 3rd, Azar S, Rubin BP, Muller S, West R, Heinrich MC, Corless CL. KIT gene mutations and copy number in melanoma subtypes. Clin Cancer Res. 2008;14(21):6821–6828. doi: 10.1158/1078-0432.CCR-08-0575. - DOI - PubMed
MeSH terms
Substances
LinkOut - more resources
Full Text Sources
Medical
Research Materials
