Progressive Multifocal Leukoencephalopathy in Children with Primary and Secondary Immune Deficiency
- PMID: 34142853
- PMCID: PMC8664112
- DOI: 10.1089/ped.2020.1330
Progressive Multifocal Leukoencephalopathy in Children with Primary and Secondary Immune Deficiency
Abstract
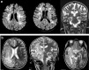
Progressive multifocal leukoencephalopathy (PML) is a fatal demyelinating disease of the central nervous system that is caused by John Cunningham virus (JCV). It occurs almost exclusively in immunosuppressed individuals, for example, patients with AIDS and hematological and lymphoreticular malignancies. In this article, we present a review of the literature and 2 case reports with PML. The first report examines a 15-year-old male (who presented with dedicator of cytokinesis 8 deficiency) who was diagnosed as having PML based on characteristic magnetic resonance imaging (MRI) lesions and a positive PCR for JCV in cerebrospinal fluid. He was transferred for bone marrow transplantation after stabilization with therapy of maraviroc and cidofovir. The second report examines a 6-year-old male who presented with encephalitis and was also diagnosed with AIDS. He was diagnosed with PML and started treatment with cidofovir. His clinical status and MRI findings deteriorated rapidly. In immunosuppressive patients who developed encephalopathy, JCV ought to be considered.
Keywords: HIV; JCV; progressive multifocal leukoencephalopathy.
Conflict of interest statement
The authors declare that they have no conflict of interest.
Figures

References
-
- Khanna N, Elzi L, Mueller NJ, et al. . Incidence and outcome of progressive multifocal leukoencephalopathy over 20 years of the Swiss HIV Cohort Study. Clin Infect Dis 2009; 48:1459–1466. - PubMed
-
- Ohara H, Kataoka H, Nakamichi K, et al. . Favorable outcome after withdrawal of immunosuppressant therapy in progressive multifocal leukoencephalopathy after renal transplantation: case report and literature review. J Neurol Sci 2014; 341:144–146. - PubMed
Publication types
MeSH terms
Substances
LinkOut - more resources
Full Text Sources