Blunt gastric rupture: a plural clinical presentation and literature review
- PMID: 34167971
- PMCID: PMC8230993
- DOI: 10.1136/bcr-2020-239942
Blunt gastric rupture: a plural clinical presentation and literature review
Abstract
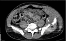
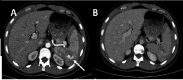
Blunt trauma is still the leading mechanism of trauma found in patients admitted to trauma centres worldwide. In these patients, the gastric injury is a very rare lesion, occurring in less than 2% of all blunt traumas. Besides the low incidence, gastric rupture mortality is high, which makes the diagnosis an essential step. Thus, this study aims to report two blunt gastric injuries, with different clinical features, prompting the discussion about the main features of clinical suspicion and diagnosis, besides the main therapeutic approaches. Therefore, this study can alert the medical community to the quick diagnosis and assertive therapy, saving patients of unwelcome endpoints.
Keywords: gastroenterology; gastrointestinal surgery; general surgery; trauma.
© BMJ Publishing Group Limited 2021. No commercial re-use. See rights and permissions. Published by BMJ.
Conflict of interest statement
Competing interests: None declared.
Figures







References
-
- Bruscagin V, Coimbra R, Rasslan S, et al. . Blunt gastric injury. A multicentre experience. Injury 2001;32:761. - PubMed
Publication types
MeSH terms
LinkOut - more resources
Full Text Sources
Medical