Pediatric nonalcoholic fatty liver disease - a changing diagnostic paradigm
- PMID: 34171051
- PMCID: PMC8343491
- DOI: 10.47162/RJME.61.4.04
Pediatric nonalcoholic fatty liver disease - a changing diagnostic paradigm
Abstract
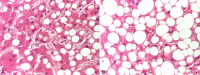
Worldwide, nonalcoholic fatty liver disease (NAFLD) has emerged as the leading cause of chronic liver disease in children and adolescents, but also as a real public health issue. Over the last decades, the increase in the rates of obesity and overweight in children has led to the increase in the worldwide prevalence of pediatric NAFLD. Detection of a hyperechoic appearance of the liver at ultrasounds or elevated levels of transaminases, identified during a routine control in children, suggests NAFLD. The disorder can be diagnosed with either non-invasive strategies or through liver biopsy, which further allows the identification of specific histological aspects, distinct from those found in adults. Since NAFLD is a clinically heterogeneous disease, there is an imperative need to identify noninvasive biomarkers and screening techniques for early diagnosis in children, in order to prevent metabolic and cardiovascular complications later in adulthood. This review emphasizes the main diagnosis tools in pediatric NAFLD, a systemic disorder with multifactorial pathogenesis and varying clinical manifestations.
Conflict of interest statement
The authors declare that they have no conflict of interests.
Figures
References
-
- Goldner D, Lavine JE. Nonalcoholic fatty liver disease in children: unique considerations and challenges. Gastroenterology. 2020;158(7):1967–1983e1. - PubMed
Publication types
MeSH terms
LinkOut - more resources
Full Text Sources
Medical
