Epicardial adipose tissue differentiates in patients with and without coronary microvascular dysfunction
- PMID: 34172829
- PMCID: PMC8380538
- DOI: 10.1038/s41366-021-00875-6
Epicardial adipose tissue differentiates in patients with and without coronary microvascular dysfunction
Abstract
Background/objectives: Coronary microvascular dysfunction (CMD) is a common disorder, leading to symptoms similar to obstructive coronary artery disease and bears important prognostic implications. Local inflammation is suggested to promote development of CMD. Epicardial adipose tissue (EAT) is a local visceral fat depot surrounding the heart and the coronary arteries, modifying the inflammatory environment of the heart. We compared EAT in patients with and without CMD.
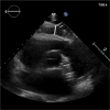
Methods: We retrospectively included consecutive patients undergoing diagnostic coronary angiography as well as transthoracic echocardiography between March and October 2016. EAT thickness was defined as space between the epicardial wall of the myocardium and the visceral layer of the pericardium and EAT index was calculated as EAT thickness/body surface area. Logistic regression analysis was used to determine the association of EAT index with the presence of CMD.
Results: Overall, 399 patients (mean age 60.2 ± 14.0 years, 46% male) were included. EAT thickness was significantly higher in patients with CMD compared to patients without CMD (EAT thickness 4.4 ± 1.8 vs. 4.9 ± 2.4 mm, p = 0,048 for patients without and with CMD, respectively). In univariate regression analysis, EAT index was associated with a 30% higher frequency of CMD (odds ratio [95% confidence interval]: 1.30 [1.001-1.69], p = 0.049). Effect sizes remained stable upon adjustment for body mass index (BMI, 1.30 [1.003-1.70], p = 0.048), but were attenuated when ancillary adjusting for age and gender (1.17 [0.90-1.54, p = 0.25). The effect was more pronounced in patients >65 years of age and independent of BMI and sex (1.85 [1.14-3.00], p = 0.013).
Conclusion: EAT thickness is independently associated with CMD and can differentiate between patients with and without CMD especially in older age groups. Our results support the hypothesis that modulation of local inflammation by epicardial fat is involved in the development of CMD.
© 2021. The Author(s).
Conflict of interest statement
The authors declare no competing interests.
Figures



Comment in
-
Epicardial adipose tissue in coronary microvascular dysfunction.Int J Obes (Lond). 2022 Aug;46(8):1564. doi: 10.1038/s41366-022-01125-z. Epub 2022 Apr 25. Int J Obes (Lond). 2022. PMID: 35468930 Free PMC article. No abstract available.
References
-
- Mahabadi AA, Berg MH, Lehmann N, Kalsch H, Bauer M, Kara K, et al. Association of epicardial fat with cardiovascular risk factors and incident myocardial infarction in the general population: the Heinz Nixdorf Recall Study. J Am Coll Cardiol. 2013;61:1388–95. doi: 10.1016/j.jacc.2012.11.062. - DOI - PubMed
Publication types
MeSH terms
LinkOut - more resources
Full Text Sources