Machine Learning to Predict In-Hospital Mortality in COVID-19 Patients Using Computed Tomography-Derived Pulmonary and Vascular Features
- PMID: 34204911
- PMCID: PMC8230339
- DOI: 10.3390/jpm11060501
Machine Learning to Predict In-Hospital Mortality in COVID-19 Patients Using Computed Tomography-Derived Pulmonary and Vascular Features
Abstract
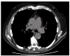
Pulmonary parenchymal and vascular damage are frequently reported in COVID-19 patients and can be assessed with unenhanced chest computed tomography (CT), widely used as a triaging exam. Integrating clinical data, chest CT features, and CT-derived vascular metrics, we aimed to build a predictive model of in-hospital mortality using univariate analysis (Mann-Whitney U test) and machine learning models (support vectors machines (SVM) and multilayer perceptrons (MLP)). Patients with RT-PCR-confirmed SARS-CoV-2 infection and unenhanced chest CT performed on emergency department admission were included after retrieving their outcome (discharge or death), with an 85/15% training/test dataset split. Out of 897 patients, the 229 (26%) patients who died during hospitalization had higher median pulmonary artery diameter (29.0 mm) than patients who survived (27.0 mm, p < 0.001) and higher median ascending aortic diameter (36.6 mm versus 34.0 mm, p < 0.001). SVM and MLP best models considered the same ten input features, yielding a 0.747 (precision 0.522, recall 0.800) and 0.844 (precision 0.680, recall 0.567) area under the curve, respectively. In this model integrating clinical and radiological data, pulmonary artery diameter was the third most important predictor after age and parenchymal involvement extent, contributing to reliable in-hospital mortality prediction, highlighting the value of vascular metrics in improving patient stratification.
Keywords: COVID-19; X-ray computed; computer; lung; machine learning; neural networks; prognosis; pulmonary artery; support vector machine; tomography.
Conflict of interest statement
S. Schiaffino declares to have received travel support from Bracco Imaging and to be member of speakers’ bureau for General Electric Healthcare. D. Fleischmann declares to have received a research grant from Siemens AG, to be a shareholder of Segmed, Inc., and to have ownership interests in Ischemia View, Inc. F. Sardanelli declares to have received grants from or to be a member of the speakers’ bureau/advisory board for Bayer Healthcare, Bracco Group, and General Electric Healthcare. All other authors declare that they have no conflicts of interest and that they have nothing to disclose.
Figures




References
-
- Rubin G.D., Ryerson C.J., Haramati L.B., Sverzellati N., Kanne J.P., Raoof S., Schluger N.W., Volpi A., Yim J.-J., Martin I.B.K., et al. The Role of Chest Imaging in Patient Management during the COVID-19 Pandemic: A Multinational Consensus Statement from the Fleischner Society. Radiology. 2020;296:172–180. doi: 10.1148/radiol.2020201365. - DOI - PMC - PubMed
-
- Nadkarni G.N., Lala A., Bagiella E., Chang H.L., Moreno P.R., Pujadas E., Arvind V., Bose S., Charney A.W., Chen M.D., et al. Anticoagulation, Bleeding, Mortality, and Pathology in Hospitalized Patients with COVID-19. J. Am. Coll. Cardiol. 2020;76:1815–1826. doi: 10.1016/j.jacc.2020.08.041. - DOI - PMC - PubMed
Grants and funding
LinkOut - more resources
Full Text Sources
Miscellaneous