Pulmonary Fibroelastotic Remodelling Revisited
- PMID: 34205982
- PMCID: PMC8227669
- DOI: 10.3390/cells10061362
Pulmonary Fibroelastotic Remodelling Revisited
Abstract
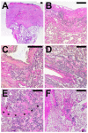
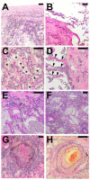
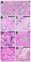
Pulmonary fibroelastotic remodelling occurs within a broad spectrum of diseases with vastly divergent outcomes. So far, no comprehensive terminology has been established to adequately address and distinguish histomorphological and clinical entities. We aimed to describe the range of fibroelastotic changes and define stringent histological criteria. Furthermore, we wanted to clarify the corresponding terminology in order to distinguish clinically relevant variants of pulmonary fibroelastotic remodelling. We revisited pulmonary specimens with fibroelastotic remodelling sampled during the last ten years at a large European lung transplant centre. Consensus-based definitions of specific variants of fibroelastotic changes were developed on the basis of well-defined cases and applied. Systematic evaluation was performed in a steps-wise algorithm, first identifying the fulcrum of the respective lesions, and then assessing the morphological changes, their distribution and the features of the adjacent parenchyma. We defined typical alveolar fibro-elastosis as collagenous effacement of the alveolar spaces with accompanying hyper-elastosis of the remodelled and paucicellular alveolar walls, independent of the underlying disease in 45 cases. Clinically, this pattern could be seen in (idiopathic) pleuroparenchymal fibro-elastosis, interstitial lung disease with concomitant alveolar fibro-elastosis, following hematopoietic stem cell and lung transplantation, autoimmune disease, radio-/chemotherapy, and pulmonary apical caps. Novel in-transit and activity stages of fibroelastotic remodelling were identified. For the first time, we present a comprehensive definition of fibroelastotic remodelling, its anatomic distribution, and clinical associations, thereby providing a basis for stringent patient stratification and prediction of outcome.
Keywords: alveolar fibroelastosis; interstitial fibrosis; lung.
Conflict of interest statement
The authors declare no conflict of interest.
Figures
References
-
- Travis W.D., Costabel U., Hansell D.M., King T.E., Lynch D.A., Nicholson A.G., Ryerson C.J., Ryu J.H., Selman M., Wells A.U., et al. An Official American Thoracic Society/European Respiratory Society Statement: Update of the International Multidisciplinary Classification of the Idiopathic Interstitial Pneumonias. Am. J. Respir. Crit. Care Med. 2013;188:733–748. doi: 10.1164/rccm.201308-1483ST. - DOI - PMC - PubMed
Publication types
MeSH terms
LinkOut - more resources
Full Text Sources
Medical
Miscellaneous
