Skip to main page content
U.S. flag

An official website of the United States government

Dot gov

The .gov means it’s official.
Federal government websites often end in .gov or .mil. Before sharing sensitive information, make sure you’re on a federal government site.

Https

The site is secure.
The https:// ensures that you are connecting to the official website and that any information you provide is encrypted and transmitted securely.

Access keys NCBI Homepage MyNCBI Homepage Main Content Main Navigation
. 2021 Jun 20:20:101481.
doi: 10.1016/j.jcot.2021.101481. eCollection 2021 Sep.

Proximal ulna fractures in adults: A review of diagnosis and management

Affiliations

Proximal ulna fractures in adults: A review of diagnosis and management

Qazi Manaan Masood et al. J Clin Orthop Trauma. .

Erratum in

  • Erratum regarding previously published articles.
    [No authors listed] [No authors listed] J Clin Orthop Trauma. 2021 Jul 30;20:101540. doi: 10.1016/j.jcot.2021.101540. eCollection 2021 Sep. J Clin Orthop Trauma. 2021. PMID: 34405085 Free PMC article.

Abstract

Proximal ulna fractures are relatively common upper limb injuries, which may represent fragility fractures or result from high-energy trauma. These include fractures of the olecranon, coronoid and associated radial head dislocations. A wide variety of treatment options are available for the management of these injuries that makes the selection of most appropriate treatment difficult. We aim to provide a brief overview of the treatment options for such injuries.

Keywords: Coronoid process; Monteggia's fracture; Olecranon process; Review; Ulna; Ulna fractures.

PubMed Disclaimer

Figures

Fig. 1
Fig. 1
Anatomy of the proximal ulna. a) Proximal ulna dorsal angulation b) Proximal varus angulation.
Fig. 2
Fig. 2
Schatzker classification of olecranon fractures (Copyright by AO foundation, Switzerland; Reproduced with permission).
Fig. 3
Fig. 3
AO classification of ulna fractures (Copyright by AO foundation, Switzerland; Reproduced with permission).
Fig. 4
Fig. 4
Mayo classification of olecranon fractures.
Fig. 5
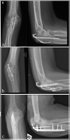
Fig. 5
Tension band wiring for simple olecranon fractures: a) Pre-operative radiographs b) Post operative radiographs showing parallel K-wires engaging the volar cortex.
Fig. 6
Fig. 6
Complications of olecranon fixation: a) Longer wires penetrating the volar cortex risk injuring the posterior interosseus nerve b) shorter wires that do not engage the volar cortex increase the risk of backing out of the wires c) Inadequate capture of the proximal fragment and subsequent failure.
Fig. 7
Fig. 7
Regan and Morrey classification of coronoid fractures.
Fig. 8
Fig. 8
Treatment algorithm for isolated coronoid fractures. The elbow is immobilized in a cast at 90° of flexion with neutral forearm rotation. A computed tomography (CT) scan is obtained. If the sublime tubercle is fractured and incompetent (fully separated from the ulna or >50% fractured and displaced), surgery is indicated. If perfect ulnohumeral congruity is lost in any direction or extent, surgery is indicated. If 50% or more of the height of the coronoid process is fractured and displaced, surgery is indicated. ICF, isolated coronoid fracture with or without an associated elbow dislocation in the absence of radial head or humeral fracture other than posterior humeral impaction injuries resulting from dislocations; Fx, fractures; LCL, lateral collateral ligament; Ex Fix, external fixation (Reproduced with permission)
Fig. 9
Fig. 9
The O'Driscoll classification of coronoid fractures of the ulna.
Fig. 10
Fig. 10
a) Displaced anteromedial fracture of the coronoid b) Stable fixation permitting early range of motion exercises.
Fig. 11
Fig. 11
Bado classification for Monteggia fracture dislocation.
Fig. 12
Fig. 12
Jupiter sub-classification of Bado type II Monteggia fracture dislocations.

References

    1. Duckworth A.D., Clement N.D., Aitken S.A., Court-Brown C.M., McQueen M.M. The epidemiology of fractures of the proximal ulna. Injury. 2012;43(3):343–346. doi: 10.1016/j.injury.2011.10.017. - DOI - PubMed
    1. Steinmann S.P. Coronoid process fracture. J Am Acad Orthop Surg. 2008;16(9):519–529. - PubMed
    1. Hak D.J., Golladay G.J. Olecranon fractures: treatment options. J Am Acad Orthop Surg. 2000;8(4):266–275. doi: 10.5435/00124635-200007000-00007. - DOI - PubMed
    1. Totlis T., Anastasopoulos N., Apostolidis S., Paraskevas G., Terzidis I., Natsis K. Proximal ulna morphometry: which are the “true” anatomical preshaped olecranon plates? Surg Radiol Anat. 2014;36(10):1015–1022. doi: 10.1007/s00276-014-1287-5. - DOI - PubMed
    1. Shi X., Pan T., Wu D., Chen R., Lin Z., Pan J. The impact of varus angulation on proximal fractures of the ulna. BMC Muscoskel Disord. 2018;19(1):103. doi: 10.1186/s12891-018-2012-z. - DOI - PMC - PubMed

LinkOut - more resources