Abnormal Levels of Pepsinogen I and Gastrin 17 in a case of Ménétrier Disease
- PMID: 34212902
- PMCID: PMC8343745
- DOI: 10.23750/abm.v92i3.11592
Abnormal Levels of Pepsinogen I and Gastrin 17 in a case of Ménétrier Disease
Abstract
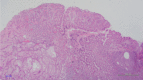
Background and aim: We describe a case of Ménétrier disease, occurred in female patient.
Methods: We decide to assess by non-invasive way (serum pepsinogens and gastrin 17) the secretory status of gastric mucosa, to confirm previous data of the literature, claiming high levels of both acid secretion and hypergastrinemia in this rare pathological condition.
Results and conclusion: We find in the subject the highest values of pepsinogen 1 - a marker of acid secretion - never described in the literature to our knowledge: 1940 mcg/L, being normal values ranging from 30-160 mcg/L. Similarly, gastrin 17, produced 90% in the antrum and responsible for negative acid feedback, was very high: 139 pg/L, ranging normal values between 1-10 pg/L. (www.actabiomedica.it).
Conflict of interest statement
Each author declares no conflict of interest and that he or she has no commercial associations (e.g. consultancies, stock ownership, equity interest, patent/licensing arrangement etc.) that might pose a conflict of interest in connection with the submitted article
Figures
References
-
- Gore M, Bansal K, Jadhav N. Menetrier Disease. In: StatPearls (Internet) Treasure Island (FL): StatPearls Publishing; 2021 Jan. 2020 Sep 23. PMID: 33085301. - PubMed
-
- Meuwissen S G, Ridwan B U, Hasper H J, Innemee G. Hypertrophic protein-losing gastropathy. A retrospective analysis of 40 cases in The Netherlands. The Dutch Ménétrier Study Group. Scand J Gastroenterol Suppl. 1992;1(94):1–7. - PubMed
-
- Almazar AE, Penfield JD, Saito YA, Talley NJ. Survival Times of Patients With Menetrier’s Disease and Risk of Gastric Cancer. Clin Gastroenterol Hepatol. 2021 Apr;19(4):707–712. - PubMed
-
- Nomura S, Settle SH, Leys CM, et al. Evidence for repatterning of the gastric fundic epithelium associated with Menetrier’s disease and TGF-alpha overexpression. Gastroenterology. 2005;128:1292–305. - PubMed
Publication types
MeSH terms
Substances
LinkOut - more resources
Full Text Sources
