Skip to main page content
U.S. flag

An official website of the United States government

Dot gov

The .gov means it’s official.
Federal government websites often end in .gov or .mil. Before sharing sensitive information, make sure you’re on a federal government site.

Https

The site is secure.
The https:// ensures that you are connecting to the official website and that any information you provide is encrypted and transmitted securely.

Access keys NCBI Homepage MyNCBI Homepage Main Content Main Navigation
Case Reports
. 2021 Jul 5;14(7):e236903.
doi: 10.1136/bcr-2020-236903.

Cytomegalovirus skin disease in a kidney transplant patient

Affiliations
Case Reports

Cytomegalovirus skin disease in a kidney transplant patient

Miguel Enrique Cervera-Hernandez et al. BMJ Case Rep. .

Abstract

A 44-year-old man with a history of renal transplantation presented with right lower abdominal wall swelling, redness and pain. A bacterial abscess was drained, and he was discharged home with oral antibiotics. After failing to improve, he returned to the hospital, where he was briefly treated with intravenous antibiotics and discharged home again. The patient returned 5 days later, reporting worsening right groin swelling that extended into the ipsilateral scrotum. Imaging revealed a persistent fluid collection in the region, and he was taken for surgical debridement. Tissue immunochemistry and histopathological evaluation identified cytomegalovirus infection. Plasma quantitative PCR for cytomegalovirus demonstrated high viraemia. The patient was successfully treated with intravenous ganciclovir, followed by oral valganciclovir, with resolution of the skin changes. Persistent hydrocele with epididymitis on imaging suggests that this process may have been the source of the cutaneous cytomegalovirus infection.

Keywords: infectious diseases; pathology.

PubMed Disclaimer

Conflict of interest statement

Competing interests: None declared.

Figures

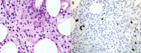
Figure 1
Figure 1
(A) H&E stain of tissue from debridement of groin wound. Cytopathic effect of cytomegalovirus (CMV) is demonstrated by a cell (centre of the image) with cytomegaly and a large, single intranuclear inclusion surrounded by a clear halo in the periphery. Prominent acute inflammation is also present. (B) Immunohistochemical staining for CMV. Positive cells are shown staining dark brown.

References

    1. Gandhi MK, Khanna R. Human cytomegalovirus: clinical aspects, immune regulation, and emerging treatments. Lancet Infect Dis 2004;4:725–38. 10.1016/S1473-3099(04)01202-2 - DOI - PubMed
    1. Razonable RR, Humar A. Cytomegalovirus in solid organ transplant recipients-Guidelines of the American Society of transplantation infectious diseases community of practice. Clin Transplant 2019;33:e13512. 10.1111/ctr.13512 - DOI - PubMed
    1. Fishman JA. Infection in organ transplantation. Am J Transplant 2017;17:856–79. 10.1111/ajt.14208 - DOI - PubMed
    1. Lee JY. Cytomegalovirus infection involving the skin in immunocompromised hosts. A clinicopathologic study. Am J Clin Pathol 1989;92:96–100. 10.1093/ajcp/92.1.96 - DOI - PubMed
    1. Fishman JA, Issa NC. Infection in organ transplantation: risk factors and evolving patterns of infection. Infect Dis Clin North Am 2010;24:273–83. 10.1016/j.idc.2010.01.005 - DOI - PubMed

Publication types