Autoimmune pulmonary alveolar proteinosis successfully treated with lung lavage in an adolescent patient: a case report
- PMID: 34238362
- PMCID: PMC8268574
- DOI: 10.1186/s13256-021-02906-2
Autoimmune pulmonary alveolar proteinosis successfully treated with lung lavage in an adolescent patient: a case report
Abstract
Background: Pulmonary alveolar proteinosis is a rare interstitial lung disease characterized by accumulating surfactant materials in the alveoli. The autoimmune form is by far the most common in adults, while in the pediatric age group, the vast majority of cases are congenital. We report a case of an adolescent patient diagnosed with autoimmune pulmonary alveolar proteinosis, which is unusual in this age group.
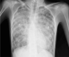
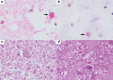
Case presentation: A-15 year-old Saudi male presented to the emergency department with a history of shortness of breath and low oxygen saturation. High-resolution computed tomography of his chest showed a global crazy-paving pattern. Autoantibodies against granulocyte-macrophage colony-stimulating factor were detected in his serum. A diagnosis of the autoimmune form of pulmonary alveolar proteinosis was confirmed after excluding other possible causes. The patient improved after he underwent whole lung lavage under general anesthesia, and he was independent of oxygen therapy after 6 months of follow-up.
Conclusion: The autoimmune form of pulmonary alveolar proteinosis is rare in the pediatric age group and should be considered when no apparent cause of this disease was found. Whole lung lavage should be the first treatment modality offered in this setting with close follow-up and monitoring.
Keywords: Autoimmune pulmonary alveolar proteinosis; Bronchoalveolar lavage; Case report; Crazy-paving pattern; GM-CSF; Whole lung lavage.
Conflict of interest statement
The authors declare that they have no competing interests.
Figures






References
Publication types
MeSH terms
Substances
LinkOut - more resources
Full Text Sources
Medical