Candida parapsilosis Infection after Lumbosacral Arthrodesis with a PEEK TLIF Interbody Fusion Device: Case Report
- PMID: 34239208
- PMCID: PMC8249073
- DOI: 10.1055/s-0040-1721845
Candida parapsilosis Infection after Lumbosacral Arthrodesis with a PEEK TLIF Interbody Fusion Device: Case Report
Abstract
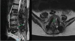
Spondylodiscitis is an uncommon but serious complication after spine surgeries, and its main etiologic agent is Staphylococcus aureus . Fungal infections are rare and mostly caused by Candida albicans . We report the clinical case of a 69-year-old male patient who underwent a L2-S1 arthrodesis for degenerative scoliosis correction. He presented an infection 2.5 months after the procedure, a spondylodiscitis at L5-S1 levels, caused by Candida parapsilosis . The treatment consisted of surgical material removal, tricortical iliac graft placement in an anterior approach (L5-S1), lumbopelvic fixation (from T10 to the pelvis) in a posterior approach, and drug treatment with anidulafungin and fluconazole. This last medication was administered for 12 months, with good clinical outcomes.
Keywords: Candida parapsilosis; fungal infections; spondylodiscitis.
Sociedade Brasileira de Ortopedia e Traumatologia. This is an open access article published by Thieme under the terms of the Creative Commons Attribution-NonDerivative-NonCommercial License, permitting copying and reproduction so long as the original work is given appropriate credit. Contents may not be used for commercial purposes, or adapted, remixed, transformed or built upon. ( https://creativecommons.org/licenses/by-nc-nd/4.0/ ).
Conflict of interest statement
Conflito de interesses Os autores declaram não haver conflito de interesses.
Figures
References
-
- Colombo A L, Guimarães T. [Epidemiology of hematogenous infections due to Candida spp] Rev Soc Bras Med Trop. 2003;36(05):599–607. - PubMed
LinkOut - more resources
Full Text Sources
Research Materials
