Diabetes, COVID 19 and mucormycosis: Clinical spectrum and outcome in a tertiary care medical center in Western India
- PMID: 34246939
- PMCID: PMC8253699
- DOI: 10.1016/j.dsx.2021.102196
Diabetes, COVID 19 and mucormycosis: Clinical spectrum and outcome in a tertiary care medical center in Western India
Abstract
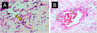
Aims: Diabetes Mellitus predisposes patients to invasive fungal infections. There has been a recent surge of Mucormycosis with COVID 19 infection particularly in patients with diabetes. This study aims to study the clinical spectrum of CAM (COVID -associated Mucormycosis) with diabetes and subsequent outcomes.
Material and methods: This was a descriptive study conducted at a single COVID Care Centre in India in patients with COVID Associated Mucormycosis from April 12, 2021 to May 31, 2021.
Results: Among 953 hospitalized patients with COVID 19 infection, 32 patients had CAM with an incidence of 3.36%. In patients with CAM, 87.5% had Diabetes Mellitus as the most common co-morbidity. The majority of the patients had poor glycemic control with a mean HbA1c of 9.06%. Out of the total study population, 93% had prior exposure to high dose corticosteroids. During the study period, 12.5% patients of CAM did not survive.
Conclusion: Mucormycosis is an angioinvasive fungal infection with high mortality. The disease has surged in COVID 19 pandemic due to uncontrolled diabetes and improper corticosteroid use.
Keywords: COVID-19; Diabetes; Mucormycosis.
Copyright © 2021 Diabetes India. Published by Elsevier Ltd. All rights reserved.
Conflict of interest statement
Declaration of competing interest The Authors declare there is no conflict of interest.
Figures
References
Publication types
MeSH terms
LinkOut - more resources
Full Text Sources
Medical
Miscellaneous
