Formalin pre-fixation improves autopsy histology
- PMID: 34249795
- PMCID: PMC8214906
- DOI: 10.4322/acr.2021.291
Formalin pre-fixation improves autopsy histology
Abstract
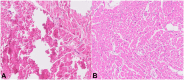
Microscopic findings in key tissues are often critical to determine the cause of death in medical autopsies. The overall quality of histologic sections depends on numerous pre-analytic factors, among which are tissue section size and thickness. We designed a prospective quality improvement study to determine whether a simple intervention of formalin pre-fixation of myocardium, liver, and kidney tissues could improve the ease of cutting and quality of autopsy histologic sections as assessed by histotechnicians and pathologists. Of 46 autopsies included in the study, 21 were randomly assigned to formalin pre-fixation, and 25 underwent routine sectioning without formalin pre-fixation. A significant improvement in overall quality score by histotechnicians was detected in the sections from pre-fixed autopsy tissues compared to the control group (p=0.0327). There was no significant difference in quality score between the two groups as assessed by pathologists. Our autopsy quality improvement study demonstrates that a simple, low-cost intervention of formalin pre-fixation of fresh autopsy tissues for 90 minutes could significantly improve the overall quality of sections submitted for histologic processing.
Keywords: Autopsy; Histology; Pathology; Quality Improvement; Tissue Fixation.
Copyright: © 2021 The Authors.
Conflict of interest statement
Conflict of interest: All authors have no conflicts of interest.
Figures


References
-
- Lott R, Tunnicliffe J, Sheppard E, et al. Pre-microscopic examination specimen handling guidelines in the surgical pathology laboratory. Northfield, IL: CAP/NSH Histotechnology Committee; 2021. [cited 2021 Jan 11]. p. 30. Internet. Available from: https://webapps.cap.org/apps/docs/proficiency_testing/pre-examination.pdf.