A large invasive chondroblastoma on the temporomandibular joint and external auditory canal: a case report and literature review
- PMID: 34259979
- PMCID: PMC8280261
- DOI: 10.1186/s40902-021-00313-7
A large invasive chondroblastoma on the temporomandibular joint and external auditory canal: a case report and literature review
Abstract
Background: Chondroblastomas, which account for approximately 1% of all bone tumors, typically occur in long bones, such as the femur, humerus, and tibia. However, in extremely rare cases, they may also occur in the craniofacial region where the tumor is often found in the squamous portion of the temporomandibular joint (TMJ) and in the temporal bone.
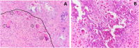
Case presentation: This case report describes a large chondroblastoma (diameter, approximately 37 mm) that occurred in the TMJ. The tumor was sufficiently aggressive to destroy the TMJ, mandibular condyle neck, external auditory canal (EAC), mandibular fossa of the temporal bone, and facial nerve. The tumor was completely excised using a pre-auricular approach. The EAC and surgical defect were successfully reconstructed using a temporoparietal fascia flap (TPFF) and an inguinal free fat graft. There was no local tumor recurrence at the 18-month follow-up visits. However, the patient developed sensory neural hearing loss, and his eyebrow paralysis worsened, eventually requiring plastic surgery.
Conclusion: Large, invasive chondroblastomas of the TMJ can be completely removed through a pre-auricular approach, and the resulting surgical defect can be reconstructed using TPFF and free fat grafts. However, preoperative evaluation of the facial nerve and auditory function is necessary. Therefore, a multidisciplinary approach is essential.
Keywords: Chondroblastoma; Inguinal fat graft; Multidisciplinary approach; Pre-auricular approach; Temporomandibular joint; Temporoparietal fascia flap.
© 2021. The Author(s).
Conflict of interest statement
The authors declare that they have no competing interests.
Figures




References
-
- Calvert N, Wood D (2017) Use of denosumab in recurrent chondroblastoma of the squamous temporal bone: a case report. Clin Case Rep 5:411-413. https://doi.org/10.1002/ccr3.838, 4 - PMC - PubMed
-
- Ben Salem D, Allaoui M, Dumousset E, Ponnelle T, Justrabo E, Martin D et al (2002) Chondroblastoma of the temporal bone associated with a persistent hypoglossal artery. Acta Neurochir (Wien) 144:1315-1318. https://doi.org/10.1007/s00701-002-1025-3, 12 - PubMed
-
- Huvos AG, Marcove RC (1973) Chondroblastoma of bone a critical review. Clin Orthop Relat Res. 95:300-312. https://doi.org/10.1097/00003086-197309000-00039, 95 - PubMed
-
- Bertoni F, Unni KK, Beabout JW, Harner SG, Dahlin DC (1987) Chondroblastoma of the skull and facial bones. Am J Clin Pathol 88:1-9. https://doi.org/10.1093/ajcp/88.1.1, 1 - PubMed
-
- Hatano M, De Donato G, Falcioni M, Sanna M (2011) Chondroblastoma of the temporal bone. Acta Otolaryngol. 131:890-895. https://doi.org/10.3109/00016489.2011.566579, 8 - PubMed
LinkOut - more resources
Full Text Sources