The CT guided transoral approach: A biopsy technique for a poorly differentiated chordoma in a 5 year old
- PMID: 34267865
- PMCID: PMC8253149
- DOI: 10.3941/jrcr.v15i3.4208
The CT guided transoral approach: A biopsy technique for a poorly differentiated chordoma in a 5 year old
Abstract
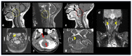
Mass lesions presenting at the craniocervical junction often present a unique challenge due to the complex anatomic arrangement limiting access for tissue diagnosis. The transoral approach has predominantly been used for percutaneous vertebroplasty of high cervical vertebrae with limited literature describing image guided biopsy for bony lesions in this region in the pediatric patient. We describe a technique of computed tomography guided transoral biopsy of a poorly differentiated chordoma located at the C1-C2 level in a 5-year-old child, and review this diagnosis.
Keywords: CT guided; Poorly differentiated chordoma; pediatric; spine; transoral.
Copyright Journal of Radiology Case Reports.
Figures



References
-
- Carbó E, Riquelme Ó, García A, González JL. Vertebroplasty in a 10-year-old boy with Gorham-Stout syndrome. Eur Spine J. 2015;24:590–593. - PubMed
-
- Shih AR, Cote GM, Chebib I, et al. Clinicopathologic characteristics of poorly differentiated chordoma. Mod Pathol. :1237–1245. Published online 2018. - PubMed
-
- Hasselblatt M, Thomas C, Hovestadt V, et al. Poorly differentiated chordoma with SMARCB1/INI1 loss: a distinct molecular entity with dismal prognosis. Acta Neuropathol. 2016;132(1):149–151. - PubMed
-
- Dlouhy BJ, Dahdaleh NS, Menezes AH., MD Evolution of transoral approaches, endoscopic endonasal approaches, and reduction strategies for treatment of craniovertebral junction pathology: a treatment algorithm update. Neurosurg Focus FOC. 2015;38(4):E8. - PubMed
Publication types
MeSH terms
LinkOut - more resources
Full Text Sources
Medical
Miscellaneous