Isolated Salter-Harris Type II Fracture of the Distal Ulna
- PMID: 34277177
- PMCID: PMC8269975
- DOI: 10.7759/cureus.15552
Isolated Salter-Harris Type II Fracture of the Distal Ulna
Abstract
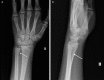
Isolated distal ulna epiphyseal plate injuries are very rare and are often associated with early epiphyseal plate arrest. A 13-year-old boy sustained an isolated minimally displaced Salter-Harris type II fracture of the left distal ulna following a fall from a bicycle. The fracture was reduced, and a long arm plaster cast was applied for four weeks. At the six-month follow-up, the patient presented with a painless, full range of movement of the left wrist, but on radiological examination, a mild shortening of the ulna was detected. We plan to regularly evaluate this patient until distal epiphyseal plate closure and surgically intervene if necessary. To our knowledge, this is the third Salter-Harris type II distal ulnar fracture ever reported, and the second treated nonoperatively. It was shown to be associated with a mild growth disturbance. Although Salter-Harris type II injuries are considered benign, surgeons should closely evaluate this rare type II isolated distal ulnar fracture and inform parents regarding possible future complications, which range from clinically insignificant cosmetic deformity to severe instability of the distal radioulnar joint, depending on the degree of shortening.
Keywords: distal forearm fracture; epiphyseal fracture; growth disturbance; isolated ulnar fracture; salter-harris ii ulnar fracture.
Copyright © 2021, Mitrousias et al.
Conflict of interest statement
The authors have declared that no competing interests exist.
Figures



References
-
- Peterson HA. Berlin, Heidelberg, Germany: Springer-Verlag; 2007. Epiphyseal growth plate fractures.
-
- Distal ulnar physeal injury. Golz RJ, Grogan DP, Greene TL, Belsole RJ, Ogden JA. J Pediatr Orthop. 1991;11:318–326. - PubMed
-
- Physeal fractures of the distal radius and ulna: long-term prognosis. Cannata G, De Maio F, Mancini F, Ippolito E. J Orthop Trauma. 2003;17:172–179. - PubMed
-
- Isolated Salter-Harris type III physeal fracture of the distal ulna. Yukata K, Nakai S, Ikeda M, Hamawaki JI. J Hand Surg Asian Pac Vol. 2018;23:125–127. - PubMed
Publication types
LinkOut - more resources
Full Text Sources
Miscellaneous