Skip to main page content
U.S. flag

An official website of the United States government

Dot gov

The .gov means it’s official.
Federal government websites often end in .gov or .mil. Before sharing sensitive information, make sure you’re on a federal government site.

Https

The site is secure.
The https:// ensures that you are connecting to the official website and that any information you provide is encrypted and transmitted securely.

Access keys NCBI Homepage MyNCBI Homepage Main Content Main Navigation
Case Reports
. 2021 Jun 17;13(6):e15706.
doi: 10.7759/cureus.15706. eCollection 2021 Jun.

The Effectiveness of Electroconvulsive Therapy on Catatonia in a Case of Anti-N-Methyl-D-Aspartate (Anti-NMDA) Receptor Encephalitis

Affiliations
Case Reports

The Effectiveness of Electroconvulsive Therapy on Catatonia in a Case of Anti-N-Methyl-D-Aspartate (Anti-NMDA) Receptor Encephalitis

Kehinde T Olaleye et al. Cureus. .

Abstract

Catatonia is a symptom seen in a variety of neuropsychiatric conditions, including anti-N-Methyl D-aspartate receptor (NMDAR) encephalitis. When associated with anti-NMDAR encephalitis, catatonia is resistant to standard therapy. However, electroconvulsive therapy (ECT) has shown promising success in management. This case report presents a 25-year-old African American female who presented to the emergency room with nervousness, sweating, insomnia, and visual and auditory hallucinations. She was treated symptomatically for anxiety but returned to the hospital after she continued to experience worsening symptoms. Her anxiety worsened, and she became more agitated, warranting an extensive workup, including magnetic resonance imaging (MRI) and electroencephalogram (EEG), which showed normal findings. She also had an anti-NMDA receptor antibodies titer done, which showed a positive titer result. She was treated with intravenous steroids, intravenous immunoglobulin G (IgG), plasma exchange, and rituximab, which did not improve her symptoms, and she was discharged home after a prolonged hospital stay. On follow-up visits, she reported worsening confusion, aggression, and suicidal behaviors. The patient was readmitted, during which she experienced catatonia and psychiatric symptoms, and her anti-NMDAR titer had increased to 1:1280. Further treatments with intravenous steroids, intravenous IgG, plasma exchange, and rituximab, including haloperidol and clonazepam, failed to improve her condition. However, her condition improved remarkably following treatment with 12 rounds of ECT. No randomized control trial has been done to demonstrate the effectiveness of ECT in the treatment of anti-NMDAR encephalitis despite various reports of the effectiveness of this treatment modality. This case report adds to the growing clinical evidence in support of the use of ECT in anti-NMDAR encephalitis patients with catatonia. ECT can be incorporated as standard protocol in the treatment of catatonia and associated psychiatric symptoms when managing a patient with anti-NMDAR encephalitis associated with catatonic features.

Keywords: anti nmda receptor encephalitis; bush francis catatonia scale; catatonia; electro-convulsive therapy; encephalitis.

PubMed Disclaimer

Conflict of interest statement

The authors have declared that no competing interests exist.

Figures

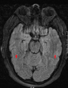
Figure 1
Figure 1. Magnetic resonance imaging (MRI) of the brain
Normal brain MRI with no abnormal leptomeningeal or intraparenchymal enhancement (red arrows). No hemorrhage, mass, or acute infarct seen.

References

    1. Anti-NMDA-receptor encephalitis: case series and analysis of the effects of antibodies. Dalmau J, Gleichman AJ, Hughes EG, et al. Lancet Neurol. 2008;7:1091–1098. - PMC - PubMed
    1. Causes of encephalitis and differences in their clinical presentations in England: a multicentre, population-based prospective study. Granerod J, Ambrose HE, Davies NW, et al. Lancet Infect Dis. 2010;10:835–844. - PubMed
    1. Anti-NMDA receptor encephalitis: an emerging differential diagnosis in the psychiatric community. Nichols TA. Ment Health Clin. 2016;6:297–303. - PMC - PubMed
    1. Anti-N-methyl d-aspartate receptor encephalitis and electroconvulsive therapy: literature review and future directions. Tanguturi YC, Cundiff AW, Fuchs C. Child Adolesc Psychiatr Clin N Am. 2019;28:79–89. - PubMed
    1. Anti-N-methyl-d-aspartate receptor encephalitis: review of clinical presentation, diagnosis and treatment. Barry H, Byrne S, Barrett E, Murphy KC, Cotter DR. BJPsych Bull. 2015;39:19–23. - PMC - PubMed

Publication types

LinkOut - more resources