Retroperitoneal liposarcoma in a nonagenarian
- PMID: 34277489
- PMCID: PMC8101656
- DOI: 10.4322/acr.2020.224
Retroperitoneal liposarcoma in a nonagenarian
Abstract
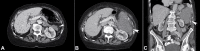
Retroperitoneal liposarcomas are rare tumors arising from the soft tissue of the retroperitoneum and are of mesenchymal cell origin. They can reach a large size prior to causing symptoms and generally have a poor prognosis. We present the case of a 93-year-old lady presenting with a large retroperitoneal liposarcoma at the site of a previous colonic anastomosis for the adenocarcinoma treatment. It caused minimal symptoms initially, but surgical resection was undertaken when the tumor was found to be growing significantly in size. However, due to the tumor's location and its invasion into surrounding structures, the resection was not feasible and subsequently abandoned. A retroperitoneal liposarcoma arising from the site of a previous colonic resection has not been previously described. A review of the diagnosis and current management of these lesions is also given.
Keywords: Aged; Colonic Neoplams; Colorectal Surgery; Retroperitoneal neoplasms; Sarcoma.
Copyright: © 2020 The Authors.
Conflict of interest statement
Conflict of interest: none
Figures
References
-
- Brennan MF. Management of soft tissue sarcoma. New York: Springer; 2013. 380. - DOI
