Pathology of non-alcoholic fatty liver disease
- PMID: 34294937
- PMCID: PMC8299321
- DOI: 10.32074/1591-951X-242
Pathology of non-alcoholic fatty liver disease
Abstract
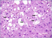
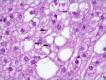
Non-alcoholic fatty liver disease (NAFLD) encompasses a spectrum of different conditions which are characterized by hepatic steatosis in the absence of secondary causes. It is currently the most common chronic liver disease worldwide, and its estimated prevalence is about 1.5-6.5%. The only histological finding of steatosis ("simple" steatosis) represents the uncomplicated form of NAFLD, while non-alcoholic steatohepatitis (NASH) is its inflammatory subtype associated with disease progression to cirrhosis and hepatocellular carcinoma (HCC), and represents the major indication for liver transplantation. NASH is still a diagnostic and therapeutic challenge for clinicians and liver biopsy is currently the only accepted method to reliably distinguish NASH from "simple" steatosis. From the histological perspectives, NAFLD and NASH continue to be an area of active interest for pathologists, with a specific focus on better methods of evaluation, morphologic clues to pathogenesis, and predictors of fibrosis progression. This review focuses on histopathology of NAFLD in adults, with the aim to provide a practical diagnostic approach useful in the clinical routine.
Keywords: fatty liver; metabolic syndrome; non-alcoholic; steatohepatitis.
Copyright © 2021 Società Italiana di Anatomia Patologica e Citopatologia Diagnostica, Divisione Italiana della International Academy of Pathology.
Conflict of interest statement
The Authors declare no conflict of interest.
Figures
References
-
- Mashek DG, Khan SA, Sathyanarayan A, et al. . Hepatic lipid droplet biology: Getting to the root of fatty liver. Hepatology 2015;62:964-967. https://doi.org/10.1002/hep.27839 10.1002/hep.27839 - DOI - PMC - PubMed
-
- Eslam M, Newsome PN, Sarin SK, et al. . A new definition for metabolic dysfunction-associated fatty liver disease: an international expert consensus statement. J Hepatol 2020;73:202-209. https://doi.org/10.1016/j.jhep.2020.03.039 10.1016/j.jhep.2020.03.039 - DOI - PubMed
-
- Younossi ZM, Koenig AB, Abdelatif D, et al. . Global epidemiology of nonalcoholic fatty liver disease-Meta-analytic assessment of prevalence, incidence, and outcomes. Hepatology 2016;64:73-84. https://doi.org/10.1002/hep.28431 10.1002/hep.28431 - DOI - PubMed
-
- European Association for the Study of the L, European Association for the Study of D, European Association for the Study of O. EASL-EASD-EASO Clinical Practice Guidelines for the management of non-alcoholic fatty liver disease. J Hepatol 2016;64:1388-1402. https://doi.org/10.1016/j.jhep.2015.11.004 10.1016/j.jhep.2015.11.004 - DOI - PubMed
-
- Sheka AC, Adeyi O, Thompson J, et al. . Nonalcoholic steatohepatitis: a review. JAMA 2020;323:1175-1183. https://doi.org/10.1001/jama.2020.2298 10.1001/jama.2020.2298 - DOI - PubMed
Publication types
MeSH terms
LinkOut - more resources
Full Text Sources
Medical
