Stress related to COVID-19 pandemic as a trigger for disease activity in multiple sclerosis: a case report
- PMID: 34297265
- PMCID: PMC8299174
- DOI: 10.1007/s10072-021-05442-5
Stress related to COVID-19 pandemic as a trigger for disease activity in multiple sclerosis: a case report
Conflict of interest statement
The authors declare no competing interests.
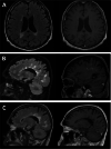
Figures

References
Publication types
MeSH terms
LinkOut - more resources
Full Text Sources
Medical