Incidental Diagnosis After a Car Accident: A Rare Case of Asymptomatic Uncorrected Tetralogy of Fallot
- PMID: 34317157
- PMCID: PMC8304552
- DOI: 10.1016/j.jaccas.2020.09.017
Incidental Diagnosis After a Car Accident: A Rare Case of Asymptomatic Uncorrected Tetralogy of Fallot
Abstract
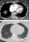
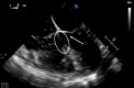
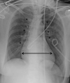
Tetralogy of Fallot (TOF) is a heterogeneous congenital heart disease that is occasionally diagnosed during adulthood. However, although they are often asymptomatic, adult patients with uncorrected TOF often have a poor prognosis. Poor outcomes indicate the importance of the identification and management of these patients, especially in the context of intercurrent disease or noncardiac surgery. We describe a case of clinically silent TOF in a 51-year-old woman. TOF was unmasked during a major noncardiac surgery for a polytrauma and successfully treated with the cooperation of a multidisciplinary team. (Level of Difficulty: Advanced.).
Keywords: CHD, congenital heart disease; CT, computed tomography; RV, right ventricle; SVR, systemic vascular resistance; TOF, tetralogy of Fallot; congenital heart defect; cyanotic heart disease; hemodynamics; tetralogy of Fallot.
© 2020 The Authors.
Conflict of interest statement
The authors have reported that they have no relationships relevant to the contents of this paper to disclose.
Figures







References
-
- Moodie D.S. Diagnosis and management of congenital heart disease in the adult. Cardiol Rev. 2001;9:276–281. - PubMed
-
- Apitz C., Webb G., Redington A. Tetralogy of Fallot. Lancet. 2009;374:1462–1471. - PubMed
-
- Fairley S.L., Sands A.J., Wilson C.M. Uncorrected tetralogy of Fallot: adult presentation in the 61st year of life. Int J Cardiol. 2008;128:e9–e11. - PubMed
-
- Shaff D.A., Raines D.E., Vidal Melo M.F., King M.E., Misra S., Chen L.L. Anesthetic management for transurethral resection of the bladder in a 74-year-old man with uncorrected tetralogy of Fallot. J Clin Anesth. 2005;17:198–201. - PubMed
Publication types
LinkOut - more resources
Full Text Sources