Tropical Endomyocardial Fibrosis
- PMID: 34317354
- PMCID: PMC8301721
- DOI: 10.1016/j.jaccas.2020.02.020
Tropical Endomyocardial Fibrosis
Abstract
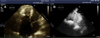
Tropical endomyocardial fibrosis is a common cause of restrictive cardiomyopathy worldwide, but is relatively rare in developed countries. We present a case of tropical endomyocardial fibrosis with right ventricular involvement initially mistaken as Ebstein's anomaly. We highlight the need for timely and accurate diagnosis to ensure appropriate management. (Level of Difficulty: Intermediate.).
Keywords: CMR, cardiac magnetic resonance; EMF, endomyocardial fibrosis; LGE, late gadolinium enhancement; RV, right ventricular; TTE, transthoracic echocardiogram; cardiac magnetic resonance; cardiomyopathy; fibrosis; restrictive; right ventricle.
© 2020 The Authors.
Figures



References
-
- Mocumbi A.O., Yacoub S., Yacoub M.H. Neglected tropical cardiomyopathies: II. Endomyocardial fibrosis: myocardial disease. Heart. 2008;94:384–390. - PubMed
-
- Tharakan J., Bohora S. Current perspective on endomyocardial fibrosis. Curr Sci. 2009;97:405–410.
-
- Mocumbi A.O., Ferreira M.B., Sidi D., Yacoub M.H. A population study of endomyocardial fibrosis in a rural area of Mozambique. N Engl J Med. 2008;359:43–49. - PubMed
-
- Grimaldi A., Mocumbi A.O., Freers J. Tropical Endomyocardial Fibrosis. Circulation. 2016;133:2503–2515. - PubMed
Publication types
LinkOut - more resources
Full Text Sources