Esophagopericardial Fistula Following Radiofrequency Ablation for Atrial Fibrillation: Insights Into Its Management
- PMID: 34317693
- PMCID: PMC8311354
- DOI: 10.1016/j.jaccas.2021.02.031
Esophagopericardial Fistula Following Radiofrequency Ablation for Atrial Fibrillation: Insights Into Its Management
Abstract
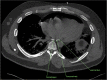
An esophagopericardial fistula developed in a 33-year-old patient after radiofrequency ablation for atrial fibrillation. He was initially managed with an esophageal repair and a left atrial bovine pericardial patch and eventually an esophagectomy. At 6-month follow up he had no symptoms. The case highlights the complexities of managing this life-threatening complication. (Level of Difficulty: Advanced.).
Keywords: AF, atrial fibrillation; CT, computed tomography; RFA, radiofrequency ablation; atrial fibrillation ablation; atrioesophageal fistula; esophagopericardial fistula.
Crown Copyright © 2021 Published by Elsevier on behalf of the American College of Cardiology Foundation.
Conflict of interest statement
The authors have reported that they have no relationships relevant to the contents of this paper to disclose.
Figures





Comment in
-
Esophagopericardial Fistula: The Wolf in Sheep's Clothing.JACC Case Rep. 2021 Jul 21;3(8):1136-1138. doi: 10.1016/j.jaccas.2021.04.043. eCollection 2021 Jul 21. JACC Case Rep. 2021. PMID: 34471898 Free PMC article.
References
-
- January C.T., Wann L.S., Alpert J.S. 2014 AHA/ACC/HRS guideline for the management of patients with atrial fibrillation: a report of the American College of Cardiology/American Heart Association Task Force on Practice Guidelines and the Heart Rhythm Society. J Am Coll Cardiol. 2014;64:e1–e76. - PubMed
-
- Doll N., Borger M.A., Fabricius A. Esophageal perforation during left atrial radiofrequency ablation: is the risk too high? J Thorac Cardiovasc Surg. 2003;125:836–842. - PubMed
-
- Pappone C., Oral H., Santinelli V. Atrio-esophageal fistula as a complication of percutaneous transcatheter ablation of atrial fibrillation. Circulation. 2004;109:2724–2726. - PubMed
-
- Cummings J.E., Schweikert R.A., Saliba W.I. Atrial-esophageal fistulas after radiofrequency ablation. Ann Intern Med. 2006;144:572–574. - PubMed
-
- Han H.C., Ha F.J., Sanders P. Atrioesophageal fistula: clinical presentation, procedural characteristics, diagnostic investigations, and treatment outcomes. Circ Arrhythm Electrophysiol. 2017;10 - PubMed
Publication types
LinkOut - more resources
Full Text Sources