A Case of Spontaneous Pneumomediastinum Following Ecstasy and Marijuana Use
- PMID: 34327096
- PMCID: PMC8302393
- DOI: 10.7759/cureus.15871
A Case of Spontaneous Pneumomediastinum Following Ecstasy and Marijuana Use
Abstract
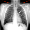
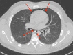
Spontaneous pneumomediastinum (SPM) is a benign and self-limiting condition more commonly seen in young adults. Radiology imaging of the chest, including X-ray or CT scan, is the gold standard for diagnosis. Ecstasy, also known as 3,4-methylenedioxymethamphetamine (MDMA) is a synthetic amphetamine derivative widely abused for an increased sense of well-being and euphoria. Marijuana is also abused for recreational purposes. SPM has been reported after both Ecstasy and marijuana use. SPM after these illicit drugs abuse usually has a benign and self-limiting course with supportive management. However, it is always important to rule out serious associated conditions like esophageal perforation. Here, we present a 22-year-old male who developed SPM after Ecstasy ingestion and marijuana inhalation.
Keywords: boerhaave's syndrome; ecstasy; marijuana; pneumomediastinum; subcutaneous emphysema.
Copyright © 2021, Paul et al.
Conflict of interest statement
The authors have declared that no competing interests exist.
Figures




References
-
- Spontaneous pneumomediastinum: a comparative study and review of the literature. Caceres M, Ali SZ, Braud R, Weiman D, Garrett HE Jr. Ann Thorac Surg. 2008;86:962–966. - PubMed
-
- Spontaneous pneumomediastinum following ecstasy ingestion and sexual intercourse. Stull BW. Emerg Med J. 2008;25:113–114. - PubMed
-
- Pneumomediastinum resulting from performing Valsalva maneuvers during marihuana smoking. Miller WE, Spiekerman RE, Hepper NG. Chest. 1972;62:233–234. - PubMed
Publication types
LinkOut - more resources
Full Text Sources