Choledochal cyst in children in dakar: Diagnostic and therapeutic aspects
- PMID: 34341203
- PMCID: PMC8362915
- DOI: 10.4103/ajps.AJPS_4_20
Choledochal cyst in children in dakar: Diagnostic and therapeutic aspects
Abstract
Context: Choledochal cyst is a rare malformation that mainly affects girls.
Aims: The aim of this work is to report the diagnostic, therapeutic and evolutionary aspects of bile duct cyst in children in Dakar.
Subjects and methods: we conducted a prospective monocentre descriptive study from 1 July, 2016, to 30 June, 2019, in the Pediatric Surgery Department of Albert Royer Children's Hospital in Dakar. The studied parameters featured clinical, biological, radiological, therapeutic and evolutionary data. Overall, ten patients, including eight girls and two boys, were selected.
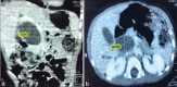
Results: Two patients presented the classic triple-syndrome complex featuring an abdominal pain, an abdominal mass and jaundice. Most of the patients presented a symptomatology associating abdominal pain and vomiting. Biological cholestasis syndrome was present in six cases and biological cytolysis syndrome in five cases. The abdominal ultrasound-computed tomography (CT) scan confirmed the diagnosis and helped to set the Todani classification with a predominance of Types 1 and 4. Surgical treatment by laparotomy consisted of total excision of the cyst followed by a Y-en-Roux hepatico-jejunal anastomosis in nine cases, whereas we performed a drainage of the cyst in one case. Two patients presented a morbidity of anastomotic suture release and evisceration and had a good outcome after surgical repair. There was no mortality.
Conclusions: The diagnosis of choledochal cyst dilatation (CCD) can be suspected in the postnatal period on the basis of a gastro-intestinal symptomatology with or without associated to jaundice. The combination ultrasound-abdominal CT-scan helps set the diagnosis. The laparatomic approach always has its place for the management of CCD, especially in our context.
Keywords: Bile ducts; child; dilation; malformation; surgery.
Conflict of interest statement
None
Figures





References
-
- Kim MJ, Han SJ, Yoon CS, Kim JH, Oh JT, Chung KS, et al. Using MR cholangiopancreatography to reveal anomalous pancreaticobiliary ductal union in infants and children with choledochal cysts. AJR Am J Roentgenol. 2002;179:209–14. - PubMed
-
- Le L, Pham AV, Dessanti A. Congenital dilatation of extrahepatic bile ducts in children. Experience in the central hospital of Hue, Vietnam. Eur J Pediatr Surg. 2006;16:24–7. - PubMed
-
- Tan KC, Howard ER. Choledochal cyst: A 14-year surgical experience with 36 patients. Br J Surg. 1988;75:892–5. - PubMed
-
- Onufer EJ, Shakhsheer B, Vrecenak JD. Spontaneous perforation of a choledochal cyst after prolonged gastroenteritis. J Pediatr Surg. 2018;35:7–10.
MeSH terms
LinkOut - more resources
Full Text Sources
Research Materials