Pituitary metastases from neuroendocrine neoplasms: case report and narrative review
- PMID: 34342837
- PMCID: PMC8416815
- DOI: 10.1007/s11102-021-01178-9
Pituitary metastases from neuroendocrine neoplasms: case report and narrative review
Abstract
Purpose: Pituitary metastases (PM) are uncommon findings and are mainly derived from breast and lung cancers. No extensive review of PM from neuroendocrine neoplasms (NENs) is on record. Here we describe a clinical case of PM from pancreatic NEN and review the clinical features of PM from NENs reported in the literature.
Methods: A case of PM from a pancreatic NEN followed at our institution is described. We also reviewed the 43 cases of PM from NENs reported in the literature.
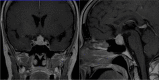
Results: A 59-year old female patient, previously submitted to duodeno-cephalo-pancreasectomy for a well-differentiated pancreatic NEN, with known hepatic metastases, underwent a 68 Ga-DOTATOC PET/CT that revealed an uptake in the pituitary gland. A subsequent MRI displayed a pituitary lesion, with suprasellar extension. After a hormonal and genetic diagnostic workup that excluded the diagnosis of MEN 1, the worsening of headache and visual impairment and the growth of the lesion lead to its surgical removal. A pituitary localization of the pancreatic NEN was identified. Regarding the published cases of PM from NENs, the most common tumour type was small cell lung cancer (SCLC), accounting for nearly half of the cases, followed by bronchial and pancreatic well differentiated NENs. The most frequent symptom was a variable degree of visual impairment, while headache was reported in half of the cases. Partial or total anterior hypopituitarism was present in approximately three quarters of the cases, while diabetes insipidus was less common. The most frequent treatment for PM was surgical resection, followed by radiotherapy and chemotherapy. The clinical outcome was in line with previous reports of PM from solid tumours, with a median survival of 14 months. Surgery of PM was associated with prolonged survival.
Conclusions: PM from NENs have clinical features similar to metastases derived from other solid tumours, albeit the involvement of the anterior pituitary seems more frequent; a thorough pituitary hormonal evaluation is mandatory, after focused radiological studies, particularly if a surgical approach is considered. The optimal management of PM remains disputed and seems mainly driven by the aggressiveness of the primary tumour and the presence of symptoms. In well-differentiated NENs, particularly in the case of symptomatic PM, surgical removal may be a reasonable approach.
Keywords: Hypophysis; Hypopituitarism; NET; Neuroendocrine neoplasm; Neuroendocrine tumours; Sellar metastases.
© 2021. The Author(s).
Conflict of interest statement
There is no conflict of interest that could be perceived as prejudicing the impartiality of the research reported.
Figures



