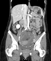
Covid no-related surgical emergencies during Covid-19 time. Case report: broad ligament internal hernia with associated small bowel necrosis
- PMID: 34353592
- PMCID: PMC7867399
- DOI: 10.1016/j.cireng.2021.02.002
Covid no-related surgical emergencies during Covid-19 time. Case report: broad ligament internal hernia with associated small bowel necrosis
Figures
References
-
- Hunt AB. Fenestrae and pouches in the broad ligament as an actual and potential cause of strangulated intra-abdominal hernia. Surg Gynecol Obstet. 1934;58:906–913.
-
- Cilley R., Poterack K., Lemmer J., Dafoe D. Defects of the broad ligament of the uterus. Am J Gastroenterol. 1986;81:389–391. - PubMed
-
- Slezak FA, Schlueter TM. In: Hernia. 4th ed. Nyhus LM, Condon RE, editors. JB Lippincott; Philadelphia: 1995. Hernia of the broad ligament; pp. 491–497.
-
- Suzuki M., Takashima T., Funaki H., Uogishi M, Isobe T, Kanno S, et al. Radiologic imaging of herniation of the small bowel through a defect in the broad ligament. Gastrointest Radiol. 1986;11:102–104. - PubMed
Publication types
MeSH terms
LinkOut - more resources
Full Text Sources
Medical
