Skip to main page content
U.S. flag

An official website of the United States government

Dot gov

The .gov means it’s official.
Federal government websites often end in .gov or .mil. Before sharing sensitive information, make sure you’re on a federal government site.

Https

The site is secure.
The https:// ensures that you are connecting to the official website and that any information you provide is encrypted and transmitted securely.

Access keys NCBI Homepage MyNCBI Homepage Main Content Main Navigation
Case Reports
. 2021 Jul-Sep;25(3):e2021.00035.
doi: 10.4293/JSLS.2021.00035.

Robotic-Assisted Laparoscopic Resection of Tailgut Cysts

Affiliations
Case Reports

Robotic-Assisted Laparoscopic Resection of Tailgut Cysts

Ingmar F Rompen et al. JSLS. 2021 Jul-Sep.

Abstract

Introduction: Tailgut cysts are rare remnants of the embryological hindgut. Resections are difficult to perform due to the narrow and delicate presacral space where they are usually located. Many different approaches have been described, but to date, no studies have been performed concerning robotic assisted surgery for this entity. Therefore, we conducted a retrospective analysis to evaluate the feasibility and outcome parameters of the robotic anterior approach for resection of tailgut cysts and to compare our results with available literature.

Material and methods: Data was retrospectively obtained from hospital records of all patients who underwent robotic assisted resection of tailgut cysts between January 1, 2017 and June 30, 2020. Outcomes include baseline characteristics, pre-operative radiological workup, operative time, intra- and postoperative complications, and histopathological results.

Results: Between January 1, 2017 and June 30, 2020, five patients underwent robotic resection of tailgut cysts. All patients were female and mean age was 47.2 years (range 31.6-63.1 years). Only one patient reported to have local symptoms that could be attributed to the tailgut cyst. Median tumor size was 42 mm (range 30-64 mm). There was no conversion and median operating time was 235 minutes (range 184-331 minutes). Four patients had additional procedures. Intra- and postoperative complications included one intra-operative injury of the rectal wall, which was immediately oversewn, and one postoperative presacral hematoseroma with mild neurological symptoms. None of the specimens showed signs of malignant transformation in histopathological workup.

Conclusion: This retrospective analysis shows that robotic resections of tailgut cysts are feasible and safe. Regarding the localization of tailgut cysts in the presacral space, the robotic assisted anterior approach is excellently suited, especially if the cysts are localized above the levator muscle. Longer operative times and higher material costs are outweighed by precise and safe preparation with a robotic platform in this delicate region and confined space. We recommend the robotic assisted anterior approach for the resection of tailgut cysts and retrorectal lesions in general.

Keywords: Minimal invasive surgery; Retrorectal hamartoma; Robotic surgery; Tailgut cyst.

PubMed Disclaimer

Figures

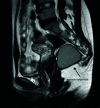
Figure 1.
Figure 1.
Magnetic resonance image (Patient 5).
Figure 2.
Figure 2.
Intraoperative image (Patient 5).
Figure 3.
Figure 3.
Microscopic sample (Patient 4). a, squamous epithelia; b, smooth muscle cells, c, connective tissue.

References

    1. George EI, Brand TC, LaPorta A, Marescaux J, Satava RM. Origins of robotic surgery: from skepticism to standard of care. JSLS. 2018;22(4):e2018.00039. - PMC - PubMed
    1. Keller DS, Delaney CP, Hashemi L, Haas EM. A national evaluation of clinical and economic outcomes in open versus laparoscopic colorectal surgery. Surg Endosc. 2016;30(10):4220–4228. - PubMed
    1. Nozawa H, Watanabe T. Robotic surgery for rectal cancer. Asian J Endosc Surg. 2017;10(4):364–371. - PubMed
    1. Bilgin IA, Bas M, Benlice C, et al. . Totally laparoscopic and totally robotic surgery in patients with left-sided colonic diverticulitis. Int J Med Robot Comput Robot. 2020;16(1):2–7. - PubMed
    1. Prete FP, Pezzolla A, Prete F, et al. . Robotic versus laparoscopic minimally invasive surgery for rectal cancer: a systematic review and meta-analysis of randomized controlled trials. Ann Surg. 2018;267(6):1034–1046. - PubMed

Publication types

LinkOut - more resources