Skip to main page content
U.S. flag

An official website of the United States government

Dot gov

The .gov means it’s official.
Federal government websites often end in .gov or .mil. Before sharing sensitive information, make sure you’re on a federal government site.

Https

The site is secure.
The https:// ensures that you are connecting to the official website and that any information you provide is encrypted and transmitted securely.

Access keys NCBI Homepage MyNCBI Homepage Main Content Main Navigation
Case Reports
. 2021 Apr 12:38:353.
doi: 10.11604/pamj.2021.38.353.28385. eCollection 2021.

[A case of neonatal gastrointestinal duplication]

[Article in French]
Affiliations
Case Reports

[A case of neonatal gastrointestinal duplication]

[Article in French]
Cyrine Belghith et al. Pan Afr Med J. .

Abstract

Gastrointestinal duplications are defined as tubular or cystic malformations of a segment of the digestive tract, from the oral cavity to the anus. They are rare. Prenatal diagnosis ca be made in patients with a voluminous cyst. We here report the case of a 33-year-old primiparous woman with no previous medical-surgical history who was poorly screened. She just underwent ultrasound scan at 8 weeks of amenorrhea (WA). During the third trimester of pregnancy ultrasound showed anechoic nonvascularized cyst measuring 3cm located in the upper pelvis. It was anteriorly located; the kidneys and the bladder were not involved. Then magnetic resonance imaging (MRI) of the fetus was performed to better interpret ultrasound results. This showed well-defined cyst in contact with the small bowel loops along the mesenteric side. The diagnosis of gastrointestinal duplication was strongly suspected. C-section was done at 39 weeks' gestation because the woman had a history of primary infertility (7 years). Delivery proceeded without complications. Postnatal ultrasound results reinforced the hypothesis of gastrointestinal duplication, showing a cystic mass with a multi-bulkhead-like structure at the level of the left hypochondrium, measuring 45 mm x 19 mm, which could be consistent with gastrointestinal duplication. The new-born was referred to the Paediatric Surgery for better management and surgery in the first 6 months of life. The discovery of fetal anechoic cyst poses a challenge in etiology and diagnosis on the one hand and of follow-up and postnatal management on the other hand.

Les duplications digestives sont définies comme des malformations tubulaires ou kystiques, siégeant sur un segment du tube digestif, de la cavité buccale à l´anus. Elles représentent une entité rare. Le diagnostic anténatal est possible quand il s´agit d´une forme kystique volumineuse. Nous rapportons le cas d´une patiente de 33 ans, primipare sans antécédents médicaux ou chirurgicaux dont la grossesse était mal suivie. Une seule échographie faite à 8 semaines d´aménorrhée (SA). Au cours du troisième trimestre l'examen échographique a montré une image kystique anéchogène de 3cm, à paroi propre, hautement situé dans le pelvis, non vascularisée. Cette image paraît de localisation antérieure, indépendante des reins et de la vessie. Afin de mieux explorer cette image et ses caractéristiques, une imagerie par résonance magnétique (IRM) fœtale a été réalisée montrant une image kystique à paroi propre, bien limitée, venant au contact des anses grêliques sur le versant mésentérique. Le diagnostic d´une duplication digestive a été fortement consolidé. L´accouchement s´est déroulé sans incidents par voie haute à 39 SA pour infertilité primaire de 7 ans. L´échographie post-natale a renforcé cette hypothèse, en montrant une formation kystique au niveau de l´hypochondre gauche, de 45 mm x 19 mm, multi cloisonnée, pouvant cadrer avec une duplication digestive. Le nouveau-né a été adressé à la consultation externe de chirurgie pédiatrique pour meilleure prise en charge et programmation d´un acte chirurgical dans les premiers 6 mois. La découverte d´une image fœtale kystique anéchogène pose le problème du diagnostic étiologique d´une part et du suivi et prise en charge post-natale d´autre part.

Keywords: Gastrointestinal duplication; case report; prenatal diagnosis.

PubMed Disclaimer

Conflict of interest statement

Les auteurs ne déclarent aucun conflit d´intérêts.

Figures

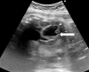
Figure 1
Figure 1
une image abdominale kystique anéchogène de 3 cm bien limitée latéralisée à gauche, à paroi propre, non vascularisée au doppler
Figure 2
Figure 2
formation kystique, bien limitée à paroi propre en hyposignal T1 et hypersignal T2, venant au contact intime des anses digestives sur leur versant mésentérique
Figure 3
Figure 3
un aspect échographique stable de l´image intra-abdominale
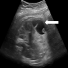
Figure 4
Figure 4
formation kystique au niveau de l´hypochondre gauche, de 45 mm x 19 mm, multi cloisonnée, pouvant cadrer avec une duplication digestive iléale non compliquée

References

    1. Puligandla PS, Nguyen LT, St-Vil D, Flageole H, Bensoussan AL, Nguyen VH, et al. Gastrointestinal duplications. J Pediatr Surg. 2003;38(5):740–744. - PubMed
    1. Thompson SK, Wong AL, Trevenen CL, MacGregor JH. Enteric duplication cyst. Am J Surg. 2004;187(2):316–8. - PubMed
    1. Ahmet Gul, Gungor Tekoglu, Halil Aslan, Altan Cebeci, Onur Erol, Murat Unal, et al. Prenatal sonographic features of eosophageal and ileal duplications at 18 weeks of gestation. Prenat diagn. 2004;24(12):969–71. - PubMed
    1. Corteville JE, Gray DL, Langer JC. Bowel abnormalities in the fetuscorrelation of prenatal ultrasonographic findings with outcome. Am J Obstet Gynecol. 1996;175(3 Pt 1):724–9. - PubMed
    1. Dhawal Sharma, Bharany RP, Mapshekhar RV. Duplication cyst of pyloric canal: a rare cause of pediatric gastric outlet obstruction (rare case report) Indian J Surg. 2013;75(1):322–325. - PMC - PubMed

Publication types