Complicated course of biliary inflammatory myofibroblastic tumor mimicking hilar cholangiocarcinoma: A case report and literature review
- PMID: 34368338
- PMCID: PMC8316968
- DOI: 10.12998/wjcc.v9.i21.6155
Complicated course of biliary inflammatory myofibroblastic tumor mimicking hilar cholangiocarcinoma: A case report and literature review
Abstract
Background: The inflammatory myofibroblastic tumor (IMT) is a rare, idiopathic, usually benign, mass-forming disease with myofibroblastic proliferation and a varying amount of inflammatory cells. Although it can affect various organs, the biliary tract is a rare localization of primary IMT, clinically, endoscopically and radiologically imitating cholangiocarcinoma. The treatment options are based only on clinical practice experience.
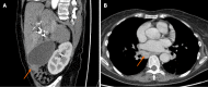
Case summary: A 70-year-old woman was referred to our center due to progressive fatigue, weight loss, abdominal pain, night sweats, and elevated liver enzymes. Magnetic resonance cholangiopancreatography and endoscopic retrograde cholangiopancreatography (ERCP) revealed proximal common hepatic duct and hilar biliary strictures extending bilaterally to lobular bile ducts. Although initial clinical, endoscopic and radiological signs were typical for hilar cholangiocarcinoma, histological examination showed no signs of malignancy. In total, 8 biopsies using different approaches were performed (several biopsies from dominant stricture during ERCP and direct cholangioscopy; ultrasound-guided liver biopsy; diagnostic laparoscopy with liver and lymph node biopsies). Histological examination revealed signs of IMT, and the final diagnosis of biliary IMT was stated. Although IMT is usually a benign disease, in our case, it was complicated. All pharmacological treatment measures were ineffective. The patient still needs permanent stenting, suffers from recurrent infections and mechanical jaundice. Despite that, the patient already survived 24 mo.
Conclusion: IMT presenting with hilar biliary strictures is a unique diagnostic and clinical challenge as it is indistinguishable from cholangiocarcinoma, and there are no evidence-based treatment options. Our goal is to increase the understanding of this rare disease and its possible course.
Keywords: Biliary strictures; Case report; Hilar cholangiocarcinoma; Inflammatory myofibroblastic tumor; Literature review; Recurrent cholangitis.
©The Author(s) 2021. Published by Baishideng Publishing Group Inc. All rights reserved.
Conflict of interest statement
Conflict-of-interest statement: The authors declare that they have no conflicts of interest.
Figures
References
-
- Verma R, Saha A, Saha K. Inflammatory Myofibroblastic Tumor of the Mid Common Bile Duct Masquerading as Cholangiocarcinoma. J Gastrointest Cancer. 2019;50:613–616. - PubMed
-
- Coffin CM, Fletcher JA. Inflammatory myofibroblastic tumor. In: Fletcher CDM, Bridge JA, Hogendooorn PCW, Mertens F, editors. WHO classification of tumors of soft tissue and bone. 4th edition. Lyon, France: IARC Press; 2013: 83-84.
-
- Casanova M, Brennan B, Alaggio R, Kelsey A, Orbach D, van Noesel MM, Corradini N, Minard-Colin V, Zanetti I, Bisogno G, Gallego S, Merks JHM, De Salvo GL, Ferrari A. Inflammatory myofibroblastic tumor: The experience of the European pediatric Soft Tissue Sarcoma Study Group (EpSSG) Eur J Cancer. 2020;127:123–129. - PubMed
Publication types
LinkOut - more resources
Full Text Sources
