Skip to main page content
U.S. flag

An official website of the United States government

Dot gov

The .gov means it’s official.
Federal government websites often end in .gov or .mil. Before sharing sensitive information, make sure you’re on a federal government site.

Https

The site is secure.
The https:// ensures that you are connecting to the official website and that any information you provide is encrypted and transmitted securely.

Access keys NCBI Homepage MyNCBI Homepage Main Content Main Navigation
Case Reports
. 2021 Apr 22:38:394.
doi: 10.11604/pamj.2021.38.394.25034. eCollection 2021.

Association of an empty sella and grave´s disease in a patient with acromegaly: a case report

Affiliations
Case Reports

Association of an empty sella and grave´s disease in a patient with acromegaly: a case report

Imen Halloul et al. Pan Afr Med J. .

Abstract

Acromegaly is, in most cases, caused by growth hormone secreting pituitary adenomas. Those patients often develop different pathologies of the thyroid gland, however, the occurrence of Grave´s disease is quite a rare situation. We report a case of a 64-year-old female patient who presented with signs of hyperthyroidism and imbalance of her diabetes mellitus. On physical examination, she had facial features of acromegaly. Biochemical testing confirmed the suspicion of acromegaly and Grave´s disease, with an elevated insulin-like growth factor-1 and a suppressed thyroid stimulation hormone (TSH) with positive TSH-receptor antibodies. A pituitary Magnetic Resonance Imaging (MRI) was performed, revealing a macro-adenoma and an empty sella. The patient successfully underwent a transsphenoidal surgery and obtained a remission of her hyperthyroidism under anti-thyroid drugs.

Keywords: Acromegaly; case report; empty sella; grave´s disease; hyperthyroidism.

PubMed Disclaimer

Conflict of interest statement

The authors declare no competing interests.

Figures

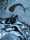
Figure 1
Figure 1
sagittal spin echo T1-weighted image showing the macro-adenoma

References

    1. Taboada GF, van Haute FR, Correa LL, Casini AF, Gadelha MR. Etiologic aspects and management of acromegaly. Arq Bras Endocrinol Metabol. 2005;49(5):626–40. - PubMed
    1. Tirosh A, Shimon I. Complications of acromegaly: thyroid and colon. Pituitary. 2017;20(1):70–5. - PubMed
    1. Di Cerbo A, Pezzuto F, Di Cerbo A. Growth hormone and insulin-like growth factor 1 affect the severity of Graves' disease. Endocrinol Diabetes Metab Case Rep. 2017 Jun 7;2017:17–0061. - PMC - PubMed
    1. Molitch ME, Hieshima GB, Marcovitz S, Jackson IM, Wolpert S. Coexisting primary empty sella syndrome and acromegally. Clinical endocrinology. 1977;7(3):261–3. - PubMed
    1. De Marinis L, Bonadonna S, Bianchi A, Maira G, Giustina A. Primary empty sella. J Clin Endocrinol Metab. 2005;90(9):5471–7. - PubMed

Publication types

MeSH terms