Severe obstructive sleep apnoea, aortic dissection and aortopulmonary fistula in a 56-year-old patient with syncope
- PMID: 34417244
- PMCID: PMC8381296
- DOI: 10.1136/bcr-2021-244029
Severe obstructive sleep apnoea, aortic dissection and aortopulmonary fistula in a 56-year-old patient with syncope
Abstract
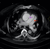
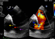
We present a case of a 56-year-old patient with obstructive sleep apnoea (OSA) presenting with acute decompensated heart failure and signs of cardiogenic shock. Echocardiography and CT imaging led to the diagnosis of acute type A aortic dissection (AD) complicated by aortopulmonary fistula (APF). The patient underwent successful surgical repair with complicated postoperative course including pulseless electrical activity arrest. This case highlights the underappreciated role of untreated OSA as a risk factor for AD. Furthermore, it presents an opportunity to review APFs as a rare complication of AD. We discuss the available evidence linking OSA and AD, review currently reported cases of APF, briefly outline the haemodynamics of this acute left-to-right shunt and discuss management of this rare but deadly complication.
Keywords: Cardiovascular medicine; Cardiovascular system; Heart failure; Hypertension.
© BMJ Publishing Group Limited 2021. No commercial re-use. See rights and permissions. Published by BMJ.
Conflict of interest statement
Competing interests: None declared.
Figures




References
-
- Franklin KA, Lindberg E. Obstructive sleep apnea is a common disorder in the population-a review on the epidemiology of sleep apnea. J Thorac Dis 2015;7:1311-22https://jtd.amegroups.com/article/view/479710.3978/j.issn.2072-1439.2015.06.11 - DOI - PMC - PubMed
Publication types
MeSH terms
Supplementary concepts
LinkOut - more resources
Full Text Sources