Large expanding splenic pseudocyst: A case report and review of literature
- PMID: 34418805
- PMCID: PMC8379287
- DOI: 10.1016/j.ijscr.2021.106317
Large expanding splenic pseudocyst: A case report and review of literature
Abstract
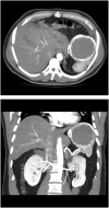
Introduction and importance: Splenic pseudocysts are extremely uncommon. Most of these cysts are asymptomatic and may result from previous blunt abdominal trauma. We report an interesting uncommon case of large splenic pseudocyst without history of previous abdominal trauma.
Case presentation: A 56 year old male patient, presented with symptoms of pain in the left side of middle back and discomfort in the left hypochondrium for few months. His physical examination was unremarkable. The abdominal Ultrasound and contrast-enhanced Computed tomography showed a large splenic cyst occupying most of the splenic parenchyma. Echinococcus multilocularis antibody test was negative. The differential diagnosis of this case included non-parasitic splenic cysts. The patient underwent elective exploratory laparoscopy which was converted to laparotomy with total splenectomy. Histopathological examination of the specimen revealed a splenic pseudocyst.
Clinical discussion: The splenic cyst in this case was symptomatic due to its large size. It was hard to elicit an etiology as there was no history of abdominal trauma, infection, or degenerative disease. The main factors in selecting either conservative or radical surgical approach for such cases are the cyst location, cyst size, and the residual splenic parenchyma.
Conclusion: The goal of splenic pseudocysts treatment is to relieve symptoms and avoid complications. Partial splenectomy is the recommended procedure when the size and location of the cyst allow preservation of at least 25% of splenic parenchyma. Otherwise, Total splenectomy is unavoidable.
Keywords: Case report; Non-parasitic splenic cyst; Splenectomy; Splenic pseudocyst.
Copyright © 2021 The Authors. Published by Elsevier Ltd.. All rights reserved.
Conflict of interest statement
The authors declare no potential conflict of interest related to this manuscript.
Figures




References
-
- Altintoprak F., Dikicier E., Kivilcim T., Ergonenc T., Dilek O.N. An uncommon clinical entity, although common theoretically: pseudocyst of spleen—two case reports and review of the literature. Eur. J. Gen. Med. 2012;9
LinkOut - more resources
Full Text Sources