Diagnosis of Hepatocellular Carcinoma Using Gd-EOB-DTPA MR Imaging
- PMID: 34421091
- PMCID: PMC9199982
- DOI: 10.2463/mrms.rev.2021-0031
Diagnosis of Hepatocellular Carcinoma Using Gd-EOB-DTPA MR Imaging
Abstract
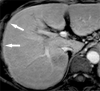
Gadolinium ethoxybenzyl diethylenetriamine pentaacetic acid (Gd-EOB-DTPA; Gadoxetic acid; Gadoxetate disodium) is a hepatocyte-specific MR contrast agent. It acts as an extracellular contrast agent in the early phase after intravenous injection, and then is taken up by hepatocytes later. Using this contrast agent, we can evaluate the hemodynamics of the liver and liver tumors, and can therefore improve the detection and characterization of hepatocellular carcinoma (HCC). Gd-EOB-DTPA helps in the more accurate detection of hypervascular HCC than by other agents. In addition, Gd-EOB-DTPA can detect hypovascular HCC, which is an early stage of the multi-stage carcinogenesis, with a low signal in the hepatobiliary phase. In addition to tumor detection and characterization, Gd-EOB-DTPA contrast-enhanced MR imaging can be applied for liver function evaluation and prognoses evaluation. Thus, Gd-EOB-DTPA plays an important role in the diagnosis of HCC. However, we have to employ optimal imaging techniques to improve the diagnostic ability. In this review, we aimed to discuss the characteristics of the contrast media, optimal imaging techniques, diagnosis, and applications.
Keywords: gadoxetic acid; hepatocellular carcinoma; liver; magnetic resonance; xetate disodium.
Conflict of interest statement
The authors declare that they have no conflicts of interest.
Figures








References
-
- Huppertz A, Balzer T, Blakeborough A, et al. European EOB study group. Improved detection of focal liver lesions at MR imaging: multicenter comparison of gadoxetic acid-enhanced MR images with intraoperative findings. Radiology 2004; 230:266–275. - PubMed
-
- Jung G, Breuer J, Poll LW, et al. Imaging characteristics of hepatocellular carcinoma using the hepatobiliary contrast agent Gd-EOB-DTPA. Acta Radiol 2006; 47:15–23. - PubMed
-
- Narita M, Hatano E, Arizono S, et al. Expression of OATP1B3 determines uptake of Gd-EOB-DTPA in hepatocellular carcinoma. J Gastroenterol 2009; 44:793–798. - PubMed
-
- Kitao A, Zen Y, Matsui O, et al. Hepatocellular carcinoma: signal intensity at gadoxetic acid-enhanced MR Imaging—correlation with molecular transporters and histopathologic features. Radiology 2010; 256:817–826. - PubMed
-
- Tsuboyama T, Onishi H, Kim T, et al. Hepatocellular carcinoma: hepatocyte-selective enhancement at gadoxetic acid-enhanced MR imaging—correlation with expression of sinusoidal and canalicular transporters and bile accumulation. Radiology 2010; 255:824–833. - PubMed