Palliative brachytherapy to axilla and hypopharynx in elderly patient with hypopharyngeal squamous cell carcinoma - case report
- PMID: 34434581
- PMCID: PMC8382068
- DOI: 10.5603/RPOR.a2021.0076
Palliative brachytherapy to axilla and hypopharynx in elderly patient with hypopharyngeal squamous cell carcinoma - case report
Abstract
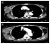
Brachytherapy (BT) is an important local treatment of tumor and it can be applied to different anatomical sites either in a curative or palliative setting. BT can deliver large dose of radiation to the tumor while sparing the surrounding normal tissue which translates into a better therapeutic ratio compared to external beam radiotherapy. However, the evidence for the use of brachytherapy in the palliative setting is lacking in the literature. In this case report, we describe the brachytherapy technique and outcome of a patient with squamous cell carcinoma of the hypopharynx who underwent palliative brachytherapy to the hypopharynx and metastatic tumor at the right axilla.
Keywords: axilla; brachytherapy; elderly; hypopharynx; squamous cell carcinoma.
© 2021 Greater Poland Cancer Centre.
Conflict of interest statement
Conflict of interest The authors have no conflict of interest to disclose.
Figures







References
-
- Skowronek J, Piotrowski T, Młynarczyk W, et al. Advanced tracheal carcinoma — a therapeutic significance of HDR brachytherapy in palliative treatment. Neoplasma. 2004;51(4):313–318. - PubMed
Publication types
LinkOut - more resources
Full Text Sources