Functional Outcomes with Facial Artery Musculo-Mucosal (FAMM) Flap and Dental Implants for Reconstruction of Floor of the Mouth and Tongue Defects in Oncologic Patients
- PMID: 34441924
- PMCID: PMC8397211
- DOI: 10.3390/jcm10163625
Functional Outcomes with Facial Artery Musculo-Mucosal (FAMM) Flap and Dental Implants for Reconstruction of Floor of the Mouth and Tongue Defects in Oncologic Patients
Abstract
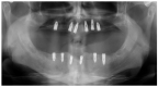
Optimal functional outcomes in oncologic patients with squamous cell carcinoma (SCCA) of the tongue and floor of the mouth require good lingual mobility, adequate facial competence, the cheek suction effect and dental rehabilitation with osseointegrated implants. In this study, twenty-two oncologic patients who had been diagnosed with intraoral SCCA affecting the tongue and the floor of the mouth and who had undergone wide resection of the tumor and immediate reconstruction with an inferiorly pedicled FAMM flap and immediate osseointegrated implants were assessed. Lingual mobility, speech articulation, deglutition, implant success rate, mouth opening, and aesthetic results were evaluated. All patients were staged as T2 and the defect size ranged from 3.7 × 2.1 cm to 6.3 × 4.2 cm. A selective neck dissection was performed in all patients as part of their oncologic treatment, either electively or for node positive disease. Thirteen patients (59%) were diagnosed with node positive disease and underwent adjuvant radiotherapy. A total of 101 osseointegrated implants were placed for prosthetic rehabilitation and 8 implants were lost (7.9%), of which 7 received radiotherapy (87.5%). The implant success rate was 92.1%. Mouth opening was reported as normal in 19 patients (86.3%). Tongue tip elevation was reported as excellent in 19 patients (86.3%) and good in 3 patients (13.6%). Lingual protrusion was referred to as excellent in 15 patients (68.2%) and good in 6 patients (27.2%). Lateral excursion was reported as excellent in 14 patients (63.6%) and good in 7 patients (31.8%). In terms of speech articulation, 20 patients reported normal speech (90.9%). Regarding deglutition, 19 patients (86.3%) reported a regular diet while a soft diet was reported by 3 patients (13.7%). Aesthetic results were referred to as excellent in 17 patients (77.3%). FAMM flaps, immediate implants and fixed prostheses enable the functional rehabilitation of oncologic patients, optimizing aesthetics and functional outcomes even in patients undergoing irradiation, thus returning oncologic patients to an excellent quality of life.
Keywords: FAMM flap; dental implants; floor of the mouth and tongue defects; oncologic patients.
Conflict of interest statement
The authors declare no conflict of interest.
Figures











References
LinkOut - more resources
Full Text Sources
Research Materials