Lung Ultrasound in Pediatrics and Neonatology: An Update
- PMID: 34442152
- PMCID: PMC8391473
- DOI: 10.3390/healthcare9081015
Lung Ultrasound in Pediatrics and Neonatology: An Update
Abstract
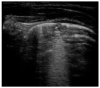
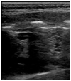
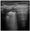
The potential role of ultrasound for the diagnosis of pulmonary diseases is a recent field of research, because, traditionally, lungs have been considered unsuitable for ultrasonography for the high presence of air and thoracic cage that prevent a clear evaluation of the organ. The peculiar anatomy of the pediatric chest favors the use of lung ultrasound (LUS) for the diagnosis of respiratory conditions through the interpretation of artefacts generated at the pleural surface, correlating them to disease-specific patterns. Recent studies demonstrate that LUS can be a valid alternative to chest X-rays for the diagnosis of pulmonary diseases, especially in children to avoid excessive exposure to ionizing radiations. This review focuses on the description of normal and abnormal findings during LUS of the most common pediatric pathologies. Current literature demonstrates usefulness of LUS that may become a fundamental tool for the whole spectrum of lung pathologies to guide both diagnostic and therapeutic decisions.
Keywords: imaging; lung imaging; lung pathology; lung ultrasound; pediatrics; ultrasonography.
Conflict of interest statement
The authors declare no conflict of interest.
Figures
References
-
- Cao H.-Y., Sorantin E. The basic principles of lung ultrasound. In: Liu J., Sorantin E., Cao H.-Y., editors. Neonatal Lung Ultrasonography. Springer; Dordrecht, The Netherlands: 2018. pp. 1–8.
Publication types
LinkOut - more resources
Full Text Sources
