Expression of L-Type Amino Acid Transporter 1 is a Predictive Biomarker of Intravesical Recurrence in Patients with Non-Muscle Invasive Bladder Cancer
- PMID: 34458203
- PMCID: PMC8387640
- DOI: 10.2147/RRU.S326249
Expression of L-Type Amino Acid Transporter 1 is a Predictive Biomarker of Intravesical Recurrence in Patients with Non-Muscle Invasive Bladder Cancer
Abstract
Purpose: L-type amino acid transporter 1 (LAT1), a Na+-independent amino acid transporter, is highly expressed in various cancer types. We evaluated the prognostic value of LAT1 expression in non-muscle-invasive bladder cancer (NMIBC).
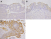
Patients and methods: We retrospectively reviewed 119 consecutive patients who underwent initial transurethral resection of bladder tumor. Of these, 75 patients with NMIBC were included in this study. Patients were classified into two groups according to the proportion of LAT1-positive cells, as determined by immunohistochemistry. Associations between LAT1 expression and clinicopathological factors were analyzed. Cox multivariate analyses were performed to identify independent predictors of intravesical recurrence (IVR). The LAT1 integrated risk model was compared with the European Organization for Research and Treatment of Cancer (EORTC) risk model to evaluate the predictive ability for IVR based on the c-index.
Results: The median follow-up was 37 months. Twenty-eight patients (37.3%) had IVR. LAT1 expression was not correlated with any other clinicopathological factors. Patients with high LAT1 expression had a worse IVR-free survival than that of patients with low LAT1 expression (P = 0.038). Cox multivariate analyses indicated that tumor multiplicity and high LAT1 expression were independent predictors of IVR. The LAT1 integrated risk model had a significantly improved performance over the EORTC model for assessing recurrence risk (c-index: 0.695, improvement: 0.091, P = 0.001). When patients were stratified into three groups according to the score calculated by the LAT1 integrated risk model, the 2-year IVR-free survival rates were 93.3% in patients with 0 points, 66.9% for those with 2 points, and 37.5% for those with 4 points.
Conclusion: High LAT1 expression was an independent predictor of IVR in patients with NMIBC. The LAT1 integrated risk model had good predictability for IVR.
Keywords: L-type amino acid transporter 1; intravesical recurrence; non-muscle-invasive bladder cancer; transurethral resection of bladder tumor.
© 2021 Sawazaki et al.
Conflict of interest statement
The authors report no conflicts of interest in this work.
Figures




References
-
- Juracek J, Stanik M, Vesela P, et al. Tumor expression of miR-34a-3p is an independent predictor of recurrence in non-muscle-invasive bladder cancer and promising additional factor to improve predictive value of EORTC nomogram. Urol Oncol. 2019;37:184.e1–184.e7. doi:10.1016/j.urolonc.2018.10.014 - DOI - PubMed
LinkOut - more resources
Full Text Sources
Research Materials