Unique enlarging cavernous malformation secondary to abnormal arteriovenous shunting through an associated developmental venous anomaly
- PMID: 34464162
- PMCID: PMC9244746
- DOI: 10.1177/19714009211042883
Unique enlarging cavernous malformation secondary to abnormal arteriovenous shunting through an associated developmental venous anomaly
Abstract
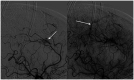
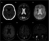
Cavernous malformations are angiographically occult vascular malformations. They are often associated with a developmental venous anomaly through poorly understood mechanisms. We present an unusual case of a gradually enlarging cavernous malformation associated with a developmental venous anomaly with arteriovenous shunting, suggesting venous hypertension or reflux as a potential cause of progressive growth.
Keywords: Cavernoma; cavernous malformation; developmental venous anomaly; vascular malformations.
Conflict of interest statement
Figures
References
-
- Zhang M, Telischak NA, Fischbein NJ, et al. Clinical and arterial spin labeling brain MRI features of transitional venous anomalies: Clinical and ASL-MRI features of transitional venous anomalies. J Neuroimaging 2018; 28: 289–300. - PubMed
Publication types
MeSH terms
LinkOut - more resources
Full Text Sources
