Endodontic management of a rare case of the geminated maxillary second molar tooth using CBCT
- PMID: 34466236
- PMCID: PMC8385687
- DOI: 10.1002/ccr3.4496
Endodontic management of a rare case of the geminated maxillary second molar tooth using CBCT
Abstract
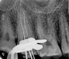
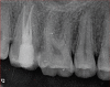
This report illustrates a rare case of a geminated maxillary right second molar tooth using CBCT in a 23-year-old man with severe pain. Nonsurgical endodontic treatment was performed, which gave rise to an asymptomatic tooth at the 12-month follow-up.
Keywords: CBCT; fusion; gemination; maxillary second molar.
© 2021 The Authors. Clinical Case Reports published by John Wiley & Sons Ltd.
Conflict of interest statement
None.
Figures









References
-
- Byun C, Kim C, Cho S, et al. Endodontic treatment of an anomalous anterior tooth with the aid of a 3‐dimensional printed physical tooth model. J Endod. 2015;41(6):961‐965. - PubMed
-
- Peikoff MD, Trott JR. An endodontic failure caused by an unusual anatomical anomaly. J Endod. 1977;3(9):356‐359. - PubMed
-
- Mazumdar DP, Utpal KD, Rahaman M. Endodontic management of geminated tooth: a case report. Int J Sci Res Public. 2013;3(2):1‐4.
-
- Ley AM, Viana FLP, Cruz SML, Vasconcelos BC. Fused tooth: clinical approach to endodontic treatment. Gen Dent. 2019;67(6):59‐61. - PubMed
Publication types
LinkOut - more resources
Full Text Sources