Low-grade fibromyxoid sarcoma: A rare case report
- PMID: 34483589
- PMCID: PMC8386263
- DOI: 10.4103/njms.NJMS_54_15
Low-grade fibromyxoid sarcoma: A rare case report
Abstract
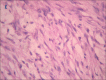
Low-grade fibromyxoid sarcoma (LGFMS) is a rare type of sarcoma that is characterized by benign-appearing histologic features but a paradoxically aggressive clinical course. Recognition of this lesion is important because of its indolent but metastasizing nature. These tumors generally occur in young to middle-aged adults, sometimes in children, but rarely in the high-aged adults. LGFMS typically affects the deep soft tissues of the trunk or lower extremities: however, it is rarely seen on the maxillofacial region. Here, we describe a case of LGFMS on the left lower one-third region of the face of a 35-year-old male patient with a 6-month history. On gross examination, the resected specimen consisted of an open ovoid mass of 2 cm × 2 cm × 1 cm. Light microscopy revealed well-circumscribed myxoid tumor with hypocellular areas in nodules merging to collagenized areas. Immunohistochemical examination revealed diffuse positivity to vimentin, whereas tests for desmin, S-100 protein were negative, thus confirming the diagnosis. After the initial healing of the surgical wound, the patient was advised 30 cycles of radiotherapy. Recurrence and metastasis have not been observed for 1 year of surgical excision now. Due to the notably indolent nature of LGFMS, long-term follow-up is necessary to evaluate its clinical course.
Keywords: Low-grade fibromyxoid sarcoma; maxillofacial region; myxoid tumor; recurrence; wide excision.
Copyright: © 2021 National Journal of Maxillofacial Surgery.
Conflict of interest statement
There are no conflicts of interest.
Figures
 
              
              
              
              
                
                
                 
              
              
              
              
                
                
                 
              
              
              
              
                
                
                 
              
              
              
              
                
                
                 
              
              
              
              
                
                
                 
              
              
              
              
                
                
                 
              
              
              
              
                
                
                References
- 
    - Pandey M, Thomas G, Mathew A, Abraham EK, Somanathan T, Ramadas K, et al. Sarcoma of the oral and maxillofacial soft tissue in adults. European J Surg Oncol. 2000;26:145–8. - PubMed
 
- 
    - Almaskati J. Low-grade fibromyxoid sarcoma: A rare distinctive soft tissue tumor. Bahrain Med Bull. 2013;35:1–6.
 
- 
    - Billings SD, Giblen G, Fanburg-Smith JC. Superficial low-grade fibromyxoid sarcoma (Evans Tumor) A clinicopathologic analysis of 19 cases with a unique observation in the pediatric population. Am J Surg Pathol. 2005;29:204–10. - PubMed
 
- 
    - Rekhi B, Deshmukh M, Jambhekar NA. Low-grade fibromyxoid sarcoma: A clinicopathologic study of 18 cases, including histopathologic relationship with sclerosing epithelioid fibrosarcoma in a subset of cases. Ann Diagn Pathol. 2011;15:303–11. - PubMed
 
- 
    - Abe Y, Hashimoto I, Nakanishi H. Recurring facial low-grade fibromyxoid sarcoma in an elderly patient: A case report. J Med Invest. 2012;59:266–9. - PubMed
 
Publication types
LinkOut - more resources
- Full Text Sources
