Intraosseous metaplastic meningioma: A case report
- PMID: 34484535
- PMCID: PMC8403703
- DOI: 10.1016/j.radcr.2021.07.080
Intraosseous metaplastic meningioma: A case report
Erratum in
-
Erratum regarding missing patient consent statements in previously published articles.Radiol Case Rep. 2022 Nov 25;18(2):730-731. doi: 10.1016/j.radcr.2022.10.049. eCollection 2023 Feb. Radiol Case Rep. 2022. PMID: 36588598 Free PMC article.
Abstract
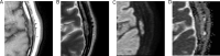
Metaplastic meningioma is a rare World Health Organization Grade I meningioma subtype, accounting for 0.2%-1.6% of all meningiomas. Primary extradural meningiomas represent less than 2% of all meningiomas, with intraosseous meningioma as a subtype of primary extradural meningiomas. Herein, we report the case of a 65-year-old male presenting with headache. His computed tomography scans showed an osteolytic left parietal bone mass, and magnetic resonance imaging revealed hyperintense dots in the mass on T1-weighted images. The mass was then resected and diagnosed on histopathological examination as an intraosseous metaplastic meningioma.
Keywords: Calvarial; Imaging; Intraosseous; Meningioma; Metaplastic.
© 2021 The Authors. Published by Elsevier Inc. on behalf of University of Washington.
Figures
References
Publication types
LinkOut - more resources
Full Text Sources
