Two novel presentations of KCNMA1-related pathology--Expanding the clinical phenotype of a rare channelopathy
- PMID: 34499417
- PMCID: PMC8580096
- DOI: 10.1002/mgg3.1797
Two novel presentations of KCNMA1-related pathology--Expanding the clinical phenotype of a rare channelopathy
Abstract
Background: KCNMA1 mutations have recently been associated with a wide range of dysmorphological, gastro-intestinal, cardiovascular, and neurological manifestations.
Methods: Whole exome sequencing was performed in order to identify the underlying pathogenic mutation in two cases presenting with diverse phenotypical manifestations that did not fit into well-known clinical entities.
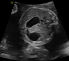
Results: In an 8-year-old boy presenting with severe aortic dilatation, facial dysmorphism, and overgrowth at birth a de novo p.Gly375Arg KCNMA1 mutation was identified which has been reported previously in association with gingival hypertrophy, aortic dilatation, and developmental delay. Additionally, in a 30-week-old fetus with severe growth retardation and duodenal atresia a de novo p.Pro805Leu KCNMA1 mutation was identified. The latter has also been reported before in a boy with severe neurological manifestations, including speech delay, developmental delay, and cerebellar dysfunction.
Conclusion: The current report presents the first antenatal presentation of a pathogenic KCNMA1 mutation and confirms the specific association of the p.Gly375Arg variant with early onset aortic root dilatation, gingival hypertrophy, and neonatal overgrowth.
Keywords: KCNMA1 loss-of-function; Liang-Wang syndrome; channelopathy; thoracic aortic aneurysm.
© 2021 The Authors. Molecular Genetics & Genomic Medicine published by Wiley Periodicals LLC.
Conflict of interest statement
The authors have no conflict of interest to declare.
Figures



References
-
- Battaglia, C. , Artini, P. G. , Galli, P. A. , D'Ambrogio, G. , Droghini, F. , & Genazzani, A. R. (1993). Absent or reversed end‐diastolic flow in umbilical artery and severe intrauterine growth retardation. An ominous association. Acta Obstetricia Et Gynecologica Scandinavica, 72(3), 167–171. 10.3109/00016349309013366 - DOI - PubMed
-
- Bell, T. J. , Miyashiro, K. Y. , Sul, J.‐Y. , Buckley, P. T. , Lee, M. T. , McCullough, R. , Jochems, J. , Kim, J. , Cantor, C. R. , Parsons, T. D. , & Eberwine, J. H. (2010). Intron retention facilitates splice variant diversity in calcium‐activated big potassium channel populations. Proceedings of the National Academy of Sciences of the United States of America, 107(49), 21152–21157. 10.1073/pnas.1015264107 - DOI - PMC - PubMed
-
- Carvalho‐de‐Souza, J. L. , Kubota, T. , Du, X. F. , Latorre, R. , Gomez, C. M. , & Bezanilla, F. (2016). A missense mutation in the selectivity filter of BK affects the channel's potassium conductance. Biophysical Journal, 110(3), 449a. 10.1016/j.bpj.2015.11.2412 - DOI
Publication types
MeSH terms
Substances
LinkOut - more resources
Full Text Sources