A Case of Systemic Lupus Erythematosus in a Patient Presenting with Libman-Sacks Endocarditis
- PMID: 34513093
- PMCID: PMC8424240
- DOI: 10.1155/2021/5573141
A Case of Systemic Lupus Erythematosus in a Patient Presenting with Libman-Sacks Endocarditis
Abstract
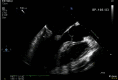
Background: Libman-Sacks endocarditis (LSE) is a rare cardiovascular manifestation of systemic lupus erythematosus/antiphospholipid syndrome that is described as a sterile verrucous nonbacterial vegetative lesion. These lesions can cause progressive damage to the heart valves leading to valve surgery. The most common valves to be affected are the aortic and mitral valves. Libman-Sacks endocarditis is associated with malignancies, other systemic diseases like systemic lupus erythematosus (SLE) and antiphospholipid antibody syndrome (APS). The majority of LSE patients are usually asymptomatic. Case Summary. We describe a 39-year-old male patient who presented with increasing shortness of breath and pulmonary congestion. He was found to have severe mitral valve regurgitation and mitral stenosis. Transesophageal echocardiogram confirmed the diagnosis of Libman-Sacks endocarditis with thickened mitral valve leaflets with symmetrical mass-like structure causing a restriction in the valve function during both cardiac phases later diagnosed with systemic lupus erythematosus by immunology. The patient was started on diuretics, anticoagulants, angiotensin inhibitors, beta-blockers, and hydroxychloroquine. He underwent successful mechanical mitral valve replacement with a 27 mm St. Jude valve. The mitral valve was found to be grossly thickened with friable tissue and complete amalgamation of the leaflets with subvalvular apparatus. The patient suffered some warfarin adverse effects a year later but did well otherwise.
Conclusion: This case demonstrates that Libman-Sacks endocarditis can be the first manifestation of systemic lupus erythematosus. Early and prompt diagnosis of LSE can prevent and lessen the many side effects associated with thromboembolism. Additionally, addressing the underlying disease is key to successful treatment.
Copyright © 2021 Mariann Al-Jehani et al.
Conflict of interest statement
The authors declare that they have no conflicts of interest.
Figures
References
-
- González Quintela A., Candela M. J., Vidal C., Román J., Aramburo P. Non-bacterial thrombotic endocarditis in cancer patients. Acta Cardiologica. 1991;46(1):1–9. - PubMed
Publication types
LinkOut - more resources
Full Text Sources
Miscellaneous
