The Role of Immunocytochemical Markers to Differentiate Primary from Secondary Neoplastic Hepatic Masses: A Diagnostic Challenge on Cytology
- PMID: 34514559
- PMCID: PMC10510624
- DOI: 10.5146/tjpath.2021.01527
The Role of Immunocytochemical Markers to Differentiate Primary from Secondary Neoplastic Hepatic Masses: A Diagnostic Challenge on Cytology
Abstract
Objective: It is challenging and difficult to differentiate primary from metastatic hepatic masses solely on cytology. The present study aimed to correlate cytomorphological spectrum of hepatic masses with immunocytochemical markers to differentiate primary from metastases in liver.
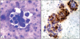
Material and method: The present study comprised of 30 clinico-radiologically suspicious cases of neoplastic hepatic masses. Ultrasound-guided fine needle aspiration smears and cell blocks were prepared as per standard technique; two of the smears were air-dried and Giemsa stained to study cytomorphological features. A panel of markers (HepPar-1, CD 10, CK7, CK19, CD34, and MOC-31) were studied both in smears and cell blocks.
Results: Cytomorphological features on smears were evaluated and correlated with immunocytochemistry in all cases; the final diagnosis was: Hepatocellular carcinoma (n=7), cholangiocarcinoma (n=2), hepatoblastoma (n=1) and metastatic carcinoma (n=20). HepPar-1, CD10 and CD34 demonstrated 86%, 72%, 86% sensitivity and 100% specificity respectively for hepatocellular carcinoma; CK7&CK19 showed 100% sensitivity for cholangiocarcinoma, MOC 31 showed 90% sensitivity and 100% specificity for metastatic carcinoma.
Conclusion: The present study recommends a panel of minimum three markers (HepPar-1, CD10, and MOC-31) which were helpful to differentiate hepatocellular carcinoma from metastatic carcinoma that was a major diagnostic challenge solely on cytomorphology. Correlating cytomorphology with these three markers, 100% of the cases could be diagnosed as primary malignancy and distinguished accurately from metastatic carcinoma.
Conflict of interest statement
The authors declare no conflict of interest.
Figures



References
-
- Yadav Rajni, Chopra Saurav, Garg Aayushi, Gupta Brijnandan, Kinra Prateek, Gupta Siddhartha Datta, Das Prasenjit. Does Hepatocyte Paraffin 1 expression stand a role in determining the site origin of an adenocarcinoma from unknown gastrointestinal primary? Dec;2016 Indian J Pathol Microbiol. 59:474–480. doi: 10.4103/0377-4929.191781. - DOI - PubMed
-
- Saad Reda S., Luckasevic Todd M., Noga Christine M., Johnson Douglas R., Silverman Jan F., Liu Yulin L. Diagnostic value of HepPar1, pCEA, CD10, and CD34 expression in separating hepatocellular carcinoma from metastatic carcinoma in fine-needle aspiration cytology. Jan;2004 Diagn Cytopathol. 30:1–6. doi: 10.1002/dc.10345. - DOI - PubMed
MeSH terms
Substances
LinkOut - more resources
Full Text Sources
Medical
Research Materials